Dr. Mauricio Ferreira - Invisalign (Ortodontista - Invisalign Doctor)

Dr. Mauricio Ferreira - Invisalign

CRO-AM 2287

Uso do Aparelho Invisalign no Tratamento da Má Oclusão de Classe Ii, Divisão 2

  Caso clínico de Ortodontia     Há 9 anos

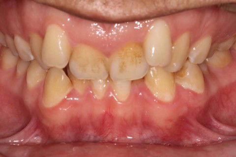
Inicial

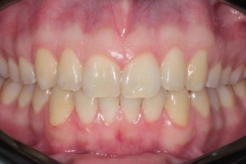
Final

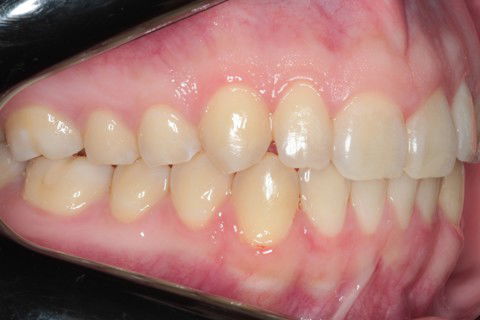
Inicial Frontal

Inicial L. Dir

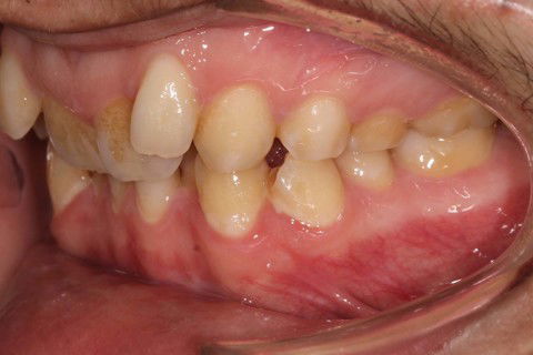
Inicial L. Esq

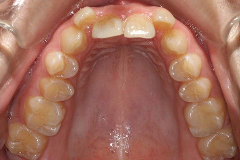
Inicial Ocl. Sup.

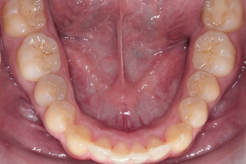
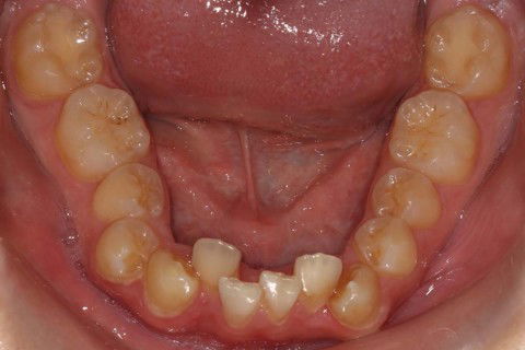
Inicial Ocl. Inf.

Inicial Rx Pan

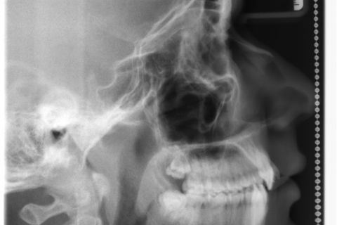
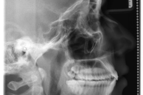
Inicial Rx Cef.

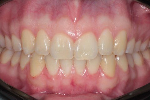
Final Fontal

Final L. Dir

Final L. Esq

Final Ocl. Sup

Final Ocl. Inf

Final Rx Pan

Final RX Cef.

Resumo

Paciente: Sexo masculino, 16 anos

Queixa principal: Apinhamento

Diagnóstico: Classe II, divisão 2 

Sugestão de Tratamento: Tratamento ortodôntico com o uso do sistema de alinhadores removíveis Invisalign. Sem extrações dentarias, pois o perfil do paciente não era favorável. Por ser um paciente jovem, optou-se por uma expansão dentária controlada, buscando a remodelamento dos arcos.

1º Passo: Planejamento Digital com software Clincheck; 

2º Passo: Confecção de 36 alinhadores personalizados conforme planejamento;

3º Passo: Evolução do tratamento que teve duração total de 18 meses, com a utilização de elástico de Classe II;

4º Passo: Checklist Oclusal + Fotografias finais.

Obs: Nesse caso não foi utilizado alinhadores adcionais para refinamento.

Dr. Mauricio Ferreira - Manaus / AM. Contato: (92) 3877-7469 / 99189-1220 www.mauricioferreira.odo.br

Conclusão

O sucesso na realização de qualquer procedimento odontológico, está diretamente relacionado ao diagnóstico correto, plano de tratamento bem indicado, uso adequado dos materiais e medicamentos de qualidade, habilidade técnica afiada, sintonia com a equipe e demais envolvidos, assim como, o envolvimento e colaboração do paciente em todas as etapas.

Solicitar consulta

Dr. Mauricio Ferreira - Invisalign (Ortodontista - Invisalign Doctor)

Dr. Mauricio Ferreira - Invisalign

CRO-AM 2287

Consultório Ed. Empire Center - Sala 503 - 5 Andar
Avenida Constantino Nery, nº 2789
Chapada
- Manaus, AM
Mostrar mapa