Dr. Mauricio Ferreira - Invisalign (Ortodontista - Invisalign Doctor)

Dr. Mauricio Ferreira - Invisalign

CRO-AM 2287

Lentes de Contato Dentais

  Caso clínico     Há 9 anos

Final

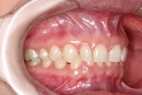
Inicial

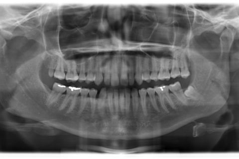
Pan

Digital Smile Design - DSD

Digital Smile Design - DSD

Enceramento Diagnóstico referenciado pelo DSD

Mock Up

Teste drive estético/funcional - Mock Up

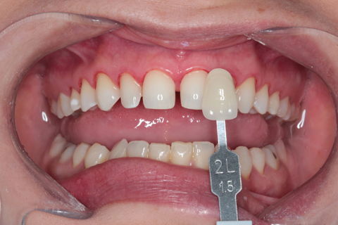
Tomada de cor - Substrato

Laminados Cerâmicos

Resultado final

Resumo

Paciente do sexo feminino, 29 anos.

Queixa principal: Espaços generalizados entre os dentes superiores (Diastemas), na qual a paciente relatava apresentar uma aparência infantil. Foi diagnosticado dentes com discrepância negativa de forma e tamanho, mas bem posicionados na arcada. Não sendo indicado fechamento de espaço através aparatologia ortodôntica.

Sugestão de Tratamento: 10 Laminados cerâmicos (Lentes de Contato Dentais), no arco superior contemplando os elementos dentários 15,14,13,12,11,21,22,23,24 e 25.

1º Passo: Planejamento Digital Smile Design – DSD + Enceramento Diagnóstico;

2º Passo: Teste Drive estético/funcional através do Mock Up + Aprovação do plano de tratamento;

3º Passo: Gengivoplastia;

4º Passo: Preparo minimamente invasivos + Moldagem + Tomada de cor do substrato e envio ao Laboratório MW Dental Studio para confecção dos laminados cerâmicos.

5º Passo: Cimentação + Checklist Oclusal + Fotografias finais.

Dr. Mauricio Ferreira - Manaus / AM. Contato: (92) 3877-7469 / 99189-1220 www.mauricioferreira.odo.br

Conclusão

O sucesso na realização de qualquer procedimento odontológico, está diretamente relacionado ao diagnóstico correto, plano de tratamento bem indicado, uso adequado dos materiais e medicamentos de qualidade, habilidade técnica afiada, sintonia com a equipe e demais envolvidos, assim como, o envolvimento e colaboração do paciente em todas as etapas.

Solicitar consulta

Dr. Mauricio Ferreira - Invisalign (Ortodontista - Invisalign Doctor)

Dr. Mauricio Ferreira - Invisalign

CRO-AM 2287

Consultório Ed. Empire Center - Sala 503 - 5 Andar
Avenida Constantino Nery, nº 2789
Chapada
- Manaus, AM
Mostrar mapa