Dr. Lucas Carpini de Oliveira (Cirurgião-Dentista)

Dr. Lucas Carpini de Oliveira

E Endodontia •  CRO-SP 105707

Troca de Próteses Parciais Removíveis

  Caso clínico de Prótese Dentária     Há 10 anos

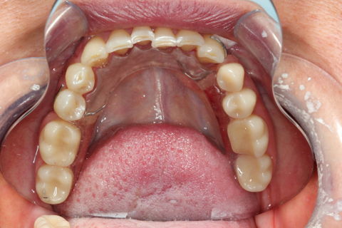
PPR Superior, foto inicial

PPR Inferior, foto inicial

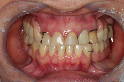
Oclusão PPR´s Iniciais

PPR Provisória Superior

PPR Provisória Inferior

Oclusão PPR´s Provisórias

Resumo

Paciente chegou no consultório relatando incomodo no elemnto 13, ao executar os exames clínicos e radiográficos constatou-se uma trinca na raiz, gerando a mobilidade e instabilidade da coroa e do pino metálico, foi então feita a exodontia do mesmo. Também constatou-se mobilidae acentuada no elemento 35 necessitando também da exodontia. Foi feita 2 PPR´s provísorias, uma superior e uma inferior, pois a paciente já apresentava PPR´s ao início do tratamento e essas após a exo não apresentam retenção.Segue imagem das PPR´s provisórias, esperando a correta cicatrização e adequação do meio bem como restaurações necessárias, para confecção das próteses definitivas.

Solicitar consulta

Dr. Lucas Carpini de Oliveira (Cirurgião-Dentista)

Dr. Lucas Carpini de Oliveira

E Endodontia •  CRO-SP 105707

Consultório Lucas Carpini Odontologia Especializada
Rua Lourenço Dias, nº 838
Centro
- Araras, SP
Mostrar mapa