Dr. Júlio Gameleira (Cirurgia e Prótese)

Dr. Júlio Gameleira

E Prótese Dentária •  CRO-AL 3758

Cirurgia Pré-Protética - Caso Clínico

  Caso clínico de Prótese Dentária     Há 9 anos

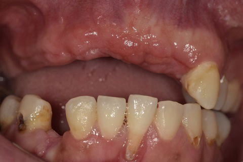
Visão Frontal Pré-Cirúrgica

Visão Oclusal Pré-Cirúrgica

Incisão

Visão Oclusal Incisão

Visão Oclusal Regularização do Rebordo

Visão Oclusal do Rebordo Regularizado

Sutura Contínua Festonada

Visão Frontal Pós-Cirúrgica (30 dias)

Pré x Pós (30 dias)

Resumo

Cirurgia pré-protética é aquela realizada com o objetivo de facilitar a adaptação, retenção e manutenção de uma prótese dentro da boca. Esta prótese pode ser uma prótese fixa ou removível, parcial ou total. Durante a cirurgia osso e tecido mole (gengiva e músculos) são manipulados de modo que a instalação da futura prótese ocorra sem interferências. Alguns exemplos de cirurgia pré-protética incluem os implantes dentários, enxertos ósseos, reposicionamento de nervo, aprofundamento de vestíbulo, melhora do contorno ósseo, e remoção de tecidos em excesso, tanto de osso como de tecido mole.

Com a perda de dentes e com o avanço da idade, os ossos maxilares (ossos que sustentam dentes e/ou próteses) são perdidos por um processo chamado reabsorção óssea . No entanto, esses ossos são fundamentais para a construção de uma prótese confortável para o paciente. Visando restabelecer a quantidade de osso necessária para a confecção de uma prótese estética e funcional.

As características ideais dos tecidos que virão a receber uma prótese são: (1)Ausência de patologias; (2) Espessura e altura do rebordo adequadas; (3) Ausência de espículas Ósseas; (4) Ausência de hiperplasias de tecido mole. 

Sequência clínica: (1) Exodontia dos elementos; (2) Confecção de base de prova e rolete de cera; (3) Montagem em articulador; (4) Prova da montagem dos dentes; (5) Cirurgia no modelo; (6) Procedimento cirúrgico; (7) Reembasamento e instalação da prótese.

Sequência cirúrgica executada: (1) Anestesia; (2) Incisão; (3) Sindesmotomia; (4) Exodontias; (5) Regularização do rebordo; (6) Regularização do tecido mole; (7) Irrigação; (8) Sutura.

Solicitar consulta

Dr. Júlio Gameleira (Cirurgia e Prótese)

Dr. Júlio Gameleira

E Prótese Dentária •  CRO-AL 3758

Consultório JTR, Edf Espanha, Sala 608
Rua José Pontes Magalhães, nº70
Jatiúca
- Maceió, AL
Mostrar mapa