Facetas E.max em Anteriores

  Caso clínico, 20 de Jul de 2017

Resumo

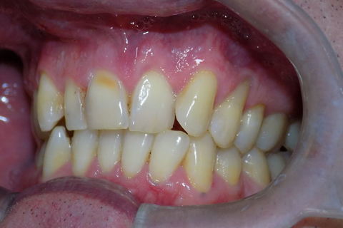
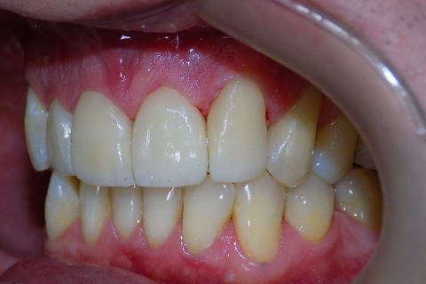
Paciente procurou atendimento com queixas estéticas relativas ao posicionamento e as formas dos dentes anteriores. Foi constatada também a ausencia do elemento 22. O tratamento proposto foi a colocação de 4 facetas e.max no intuito de corrigir posicionamento, forma e cor dos dentes envolvidos, além da "transformação" do dente 23 em 22. Também foi proposta a gengivoplastia na região, mas o paciente não aprovou esse procedimento. Após enceramento, mockup, preparo e confecção de provisórios, procedeu-se à moldagem quando foi solicitado ao protético que o aspecto superficial das peças ficasse o mais próximo possivel dos outros dentes, incluindo caracterização com cores. Peças foram coladas já na primeira prova com cimento adesivo Allcem da FGM, na cor A3.

Laboratório de prótese StudioArt Designe

Fotos do caso

Envie seu comentário

Cadastre-se grátis e opine sobre este caso clínico.

Autor

Veja mais

Dr. José Marinho

Odontologia Estética

 São Paulo, SP

Dr. José Marinho é membro da Sociedade Brasileira de Odontologia Estética - SBOE - e atua na área há 32 anos.
Site www.marinho.odo.br

Cursos Online em destaque

Pesquisar produtos

Veja mais no Catálogo

Você é dentista?

Crie seu perfil para interagir com Dr. José e mais 160 mil dentistas.

Conecte-se com Facebook