Dr. Elio Rodrigues de Castro (Cirurgião-Dentista)

Dr. Elio Rodrigues de Castro

E Ortodontia •  CRO-AC 352

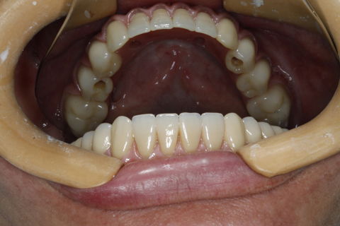
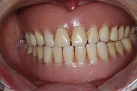
Reabilitação Estética e Funcional com Prótese Total Superior e Protocolo Inferior em Resina com 04 Implantes.

  Caso clínico de Prótese Dentária     Há 9 anos

Inicial.

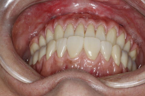
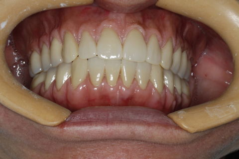
Antes.

4 Implantes.

Protocolo

Prova dos Dentes

Prova dos Dentes

Ceroplastia

Protocolo sobre o modelo de Gesso

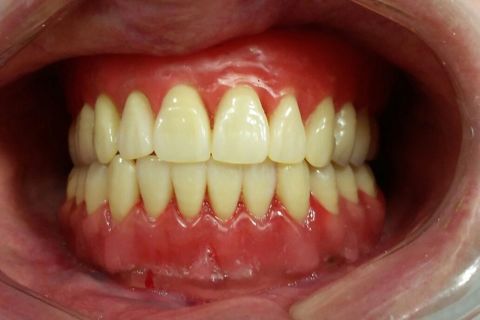
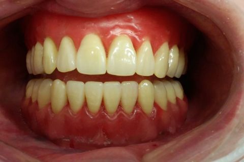
Depois.

Depois.

Depois

Depois

Depois

Depois

Protocolo em Resina com 4 Implantes.

Resumo

A Sra. M.B. 50 anos portadora de 2 Próteses Totais compareceu em minha Clínica, vindo de outra Cidade indicada por uma paciente, queixando-se de desconforto ao usa-la as Próteses, e ausência de Estética e Função. Ela nos relatou que já tinha mandado fazer 3 pares de Próteses Totais, mais não conseguia usa-la, só estava usando a mais antiga, e que sua autoestima tinha acabado, não tinha mais prazer em sorrir, e mastigava com muita deficuldades. E começou a chorar.

Foi Planejado a Reabilitação com PT Superior e Protocolo Inferior em Resina com 4 Implantes. Trabalho realizado em parceria com o Técnico José Augusto Ribeiro.

Então foi devolvido a paciente sua Autoestima, Estética, Função e Saúde Bucal. Vejam a harmonia da gengiva artificial em resina com os tecidos moles.

Solicitar consulta

Dr. Elio Rodrigues de Castro (Cirurgião-Dentista)

Dr. Elio Rodrigues de Castro

E Ortodontia •  CRO-AC 352

Consultório ELIODONTO--Ortodontia & Estética Dental
Rua:Rio de Janeiro,294
Centro
- Rio Branco, AC
Mostrar mapa
Consultório ELIODONTO : Ortodontia & Odontologia Estética.
Rua Rio de Janeiro, nº 294
Centro
- Rio Branco, AC
Mostrar mapa