Clareamento Dental e Microabrasão

  Caso clínico, 25 de Jan de 2011

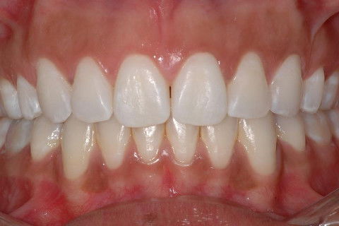
Resumo

Paciente jovem com dentes naturalmente amarelados e discreto manchamento, com objetivo de ter seus dentes clareados. Após avaliação, indicou-se microabrasão e clareamento dental caseiro:

- Microabrasão em esmalte: quatro aplicações na mesma sessão (Whiteness RM - FGM).

- Clareamento dental: técnica caseira (White Class 6% - FGM).

Fonte: LIPPMANN, B., ODEBRECHT, C.M., FERRI, L. Soluciones estéticas después de un tratamiento ortodóncico. Dental Tribune Hispanic And Latin America, n. 4, p. 14, 2008.

*mais informações vide fonte.

Fotos do caso

Envie seu comentário

Cadastre-se grátis e opine sobre este caso clínico.

Autor

Veja mais

Dr. Bruno Lippmann

Cirurgião-Dentista

 Joinville, SC

Dr. Bruno Lippmann é Cirurgião-Dentista em Joinville, SC - Brasil. Possui graduação em odontologia pela UNIVILLE - Universidade da Região de Joinville, 2008. Especialista em... Leia mais

Cursos Online em destaque

Pesquisar produtos

Veja mais no Catálogo

Leia também

Clareamento Interno

  Caso clínico

Você é dentista?

Crie seu perfil para interagir com Dr. Bruno e mais 160 mil dentistas.

Conecte-se com Facebook