Dr. Bruno Soares Eccher (Cirurgião-Dentista)

Dr. Bruno Soares Eccher

E Ortodontia •  CRO-ES 4555

Exodontia Incisivo Inferior

  Caso clínico de Ortodontia     Há 15 anos

BRUNO ECCHER Ortodontia

BRUNO ECCHER Ortodontia

BRUNO ECCHER Ortodontia

BRUNO ECCHER Ortodontia

BRUNO ECCHER Ortodontia

BRUNO ECCHER Ortodontia

BRUNO ECCHER Ortodontia

BRUNO ECCHER Ortodontia

BRUNO ECCHER Ortodontia

Resumo

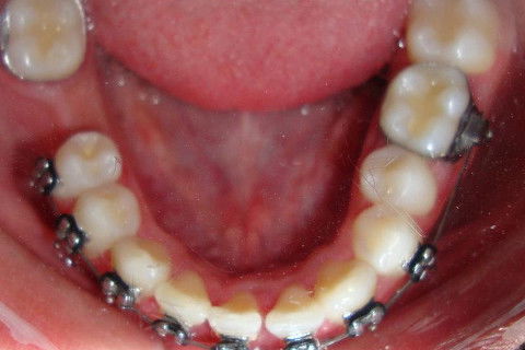
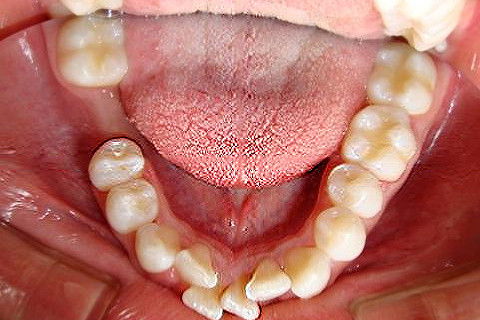
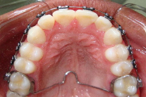
Paciente D. F. S., 19 anos, com queixa principal o apinhamento superior e inferior. Realizado o diagnóstico foi proposto duas opções de tratamento: exodontia de 04 pré-molares ou exodontia de incisivo inferior e slices superior, verticalização do molar 47 para futura instalação de implante do 46.

O paciente optou pela segunda opção, estando de acordo com as vantajens e desvantagens da terapia.

O tratameno foi iniciado com a montagem completa do aparelho superior e inferior, a indicação da exodontia do elemento 41, alinhamento e nivelamento.

Atualmente estamos com  04 meses de tratamento, podemos notar uma grande evolução no caso em pouco tempo.

Posteriormente, iremos realizar a verticalização do 47 com alça de verticalização e publicarei novas fotos.

Solicitar consulta

Dr. Bruno Soares Eccher (Cirurgião-Dentista)

Dr. Bruno Soares Eccher

E Ortodontia •  CRO-ES 4555

Consultório Dentalli Odontologia
R. José Alexandre Buaiz,160. Ed. London Office Tower 901
Enseada do Suá
- Vitória, ES
Mostrar mapa