Dr. Bruno Luiz Silva Salgueiro (Cirurgião-Dentista)

Dr. Bruno Luiz Silva Salgueiro

E Implantodontia •  CRO-RJ 28405

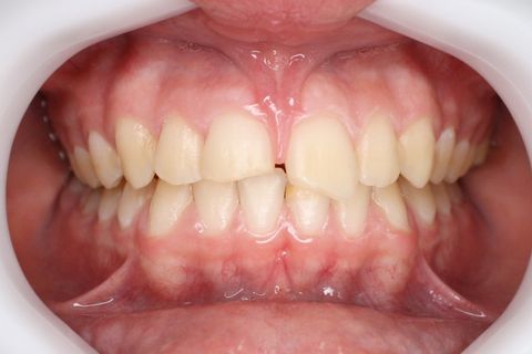
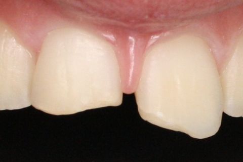
Restaurações Classe Iv em Incisivos Centrais 11 e 21.

  Caso clínico de Dentística     Há 10 anos

Aspecto clínico inicial.

Aspecto clínico inicial ocluindo.

Visualização da borda fraturada.

Vista palatina.

Condicionamento do esmalte.

Adesivo.

Início do incremento palatino.

Incremento.

Início do polimento.

Polimento final.

Palatina com polimento final.

Sorriso final.

Resumo

Paciente L.E de P., sexo masculino, 14 anos.

Solicitar consulta

Dr. Bruno Luiz Silva Salgueiro (Cirurgião-Dentista)

Dr. Bruno Luiz Silva Salgueiro

E Implantodontia •  CRO-RJ 28405

Consultório Odontológico Dr. Bruno Salgueiro
Rua Coronel João Teixeira, nº180, sala 306
Conselheiro Paulino
- Nova Friburgo, RJ
Mostrar mapa