Exodontia 18 e 48

  Caso clínico, 01 de Ago de 2014

Resumo

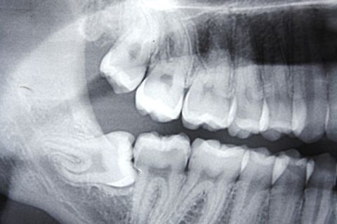
Paciente AB, sexo feminino, 19 anos, com indicação para exodontia dos elementos 18 e 48 incluso e mesio-incliniado.

Fotos do caso

Envie seu comentário

Cadastre-se grátis e opine sobre este caso clínico.

Autor

Veja mais

Dr. Bruno Salgueiro

Cirurgião-Dentista

 Nova Friburgo, RJ

Dr.Bruno LS Salgueiro - Implantodontista - CRO/RJ 28405
Atuo nas áreas de implantodontia, periodontia, cirurgia, prótese e reabilitação oral.

Cursos Online em destaque

Pesquisar produtos

Veja mais no Catálogo

Leia também

Você é dentista?

Crie seu perfil para interagir com Dr. Bruno e mais 160 mil dentistas.

Conecte-se com Facebook