Seu Sorriso de Volta

  Caso clínico, 22 de Nov de 2022

Resumo

Você sabia que o sorriso e a autoestima estão intimamente relacionados? A autoestima é uma questão delicada que envolve a autoconfiança com a nossa aparência para interagir outras pessoas. Por isso, problemas dentários como cáries, traumas e perda de dentes não tratadas podem prejudicá-la, afetando a nossa qualidade de vida. Isso significa que sorriso e autoestima estão diretamente ligados.

O sorriso é considerado um cartão de visita humano, pois, além de expressar sentimentos, deixar o rosto de uma pessoa mais bonito. Cuidar desse aspecto deixa a autoestima elevada, enquanto a falta de dentes pode estimular o afastamento de círculos sociais. Ou seja, um sorriso tem um efeito psicológico na sua percepção de si e dos outros. Manter dentes saudáveis ajuda muito, mais do que você pode imaginar. 

Isso acontece porque dentes saudáveis e bonitos asseguram que o sorriso de um indivíduo seja muito mais harmônico e, consequentemente, que a pessoa tenha mais autoconfiança com a sua aparência e mais bem-estar. Por esse motivo, é essencial tomar os cuidados necessários para ter dentes sempre bonitos e saudáveis. 

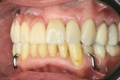
Fotos do caso

Envie seu comentário

Cadastre-se grátis e opine sobre este caso clínico.

Autor

Veja mais

Augusto Oliveira

Professor

 Cajazeiras, PB

O dr Augusto Henrique Alves de Oliveira é dentista graduado pela Universidade Estadual da Paraíba (2006) e atua na área de Odontologia em Cajazeiras - PB desde então.... Leia mais

Cursos Online em destaque

Pesquisar produtos

Veja mais no Catálogo

Você é dentista?

Crie seu perfil para interagir com Augusto e mais 160 mil dentistas.

Conecte-se com Facebook