Gengiva Demais?

  Caso clínico, 14 de Nov de 2022

Resumo

Para muitas pessoas, o simples ato de dar um sorriso pode ser algo difícil e constrangedor. Embora seja muito comum a insatisfação estética, com o tempo, os problemas bucais podem interferir na qualidade de vida dos indivíduos, além de levar a uma baixa autoestima, que repercute também nas relações interpessoais.

Se você convive com essa realidade ou conhece alguma pessoa que passa por uma situação parecida, seja pela vergonha de sorrir, pelo medo de ir ao dentista ou pela falta de tempo e de dinheiro, a boa notícia é que existem soluções para esses problemas, por meio de diversos procedimentos odontológicos inovadores e acessíveis que podem devolver a alegria e a liberdade de sorrir, com vontade e segurança, sem qualquer receio.

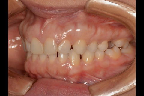
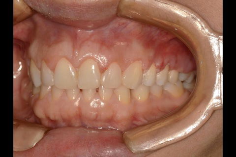
Fotos do caso

Envie seu comentário

Cadastre-se grátis e opine sobre este caso clínico.

Autor

Veja mais

Augusto Oliveira

Professor

 Cajazeiras, PB

O dr Augusto Henrique Alves de Oliveira é dentista graduado pela Universidade Estadual da Paraíba (2006) e atua na área de Odontologia em Cajazeiras - PB desde então.... Leia mais

Cursos Online em destaque

Pesquisar produtos

Veja mais no Catálogo

Você é dentista?

Crie seu perfil para interagir com Augusto e mais 160 mil dentistas.

Conecte-se com Facebook