Saúde e Beleza

  Caso clínico, 13 de Nov de 2022

Resumo

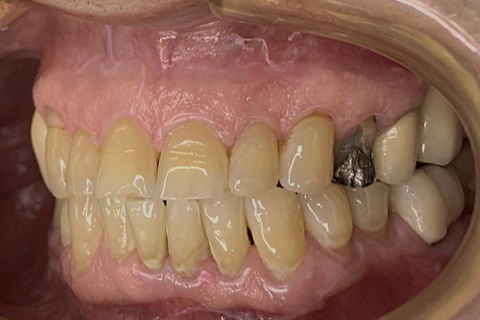
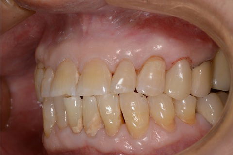
Atualmente, são quase 40 milhões de brasileiros com alguma perda dental. O problema deixa de ser apenas na aparência e pode causar sérios danos à saúde, seja por motivos estéticos ou por questão funcional. Mas não precisa se desesperar, uma vez que a prótese fixa pode ser a solução para trazer o seu sorriso de volta. Dependendo do caso, a prótese pode estimular uma melhora significativa na autoestima do paciente, pois é comum se sentir envergonhado ao apresentar um sorriso com dentes faltosos. A prótese fixa também devolve a qualidade de vida da pessoa, pois ela restabelece as funções mastigatórias dos dentes. Quer melhorar o seu sorriso? Pergunte-me como #odontoporamor #juazeirodonorte #odontotips #cajazeiraspb #odontolove #cajazeiras #dentista #instadaily #odontogram #implantes #instagood #gay #amor #odontolovers #odonto #odontologia #picoftheday

Fotos do caso

Envie seu comentário

Cadastre-se grátis e opine sobre este caso clínico.

Autor

Veja mais

Augusto Oliveira

Professor

 Cajazeiras, PB

O dr Augusto Henrique Alves de Oliveira é dentista graduado pela Universidade Estadual da Paraíba (2006) e atua na área de Odontologia em Cajazeiras - PB desde então.... Leia mais

Cursos Online em destaque

Pesquisar produtos

Veja mais no Catálogo

Você é dentista?

Crie seu perfil para interagir com Augusto e mais 160 mil dentistas.

Conecte-se com Facebook