Implantes Dentários (Prótese Protocolo)

  Caso clínico, 09 de Nov de 2022

Resumo

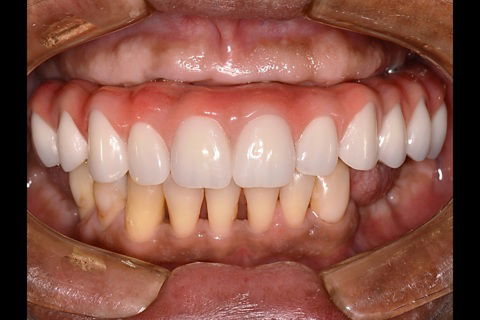
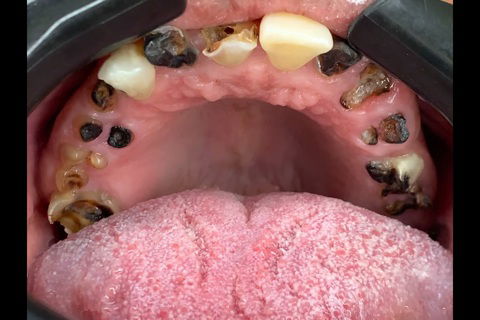
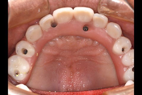
A prótese protocolo é uma solução moderna e segura que atua na reabilitação oral de pacientes que já perderam todos os dentes. A prótese fica fixa na boca, evitando quaisquer constrangimentos que a prótese removível comum possa causar. É possível melhorar também alguns pontos como autoestima, função fonética e estética. A prótese protocolo pode ser feita com dentes de porcelana ou resina. Ela é composta, geralmente, por 12 dentes presos em uma única estrutura, que são parafusados sobre 04 a 06 implantes.

Quer saber mais sobre Prótese Protocolo? Agende sua consulta através do WhatsApp (83) 98803-4425. Meu consultório está localizado na R. Cel Juvêncio Carneiro, 262, Salas 101 e 102, Centro, Cajazeiras - PB - 58900-000.

Fotos do caso

Envie seu comentário

Cadastre-se grátis e opine sobre este caso clínico.

Autor

Veja mais

Augusto Oliveira

Professor

 Cajazeiras, PB

O dr Augusto Henrique Alves de Oliveira é dentista graduado pela Universidade Estadual da Paraíba (2006) e atua na área de Odontologia em Cajazeiras - PB desde então.... Leia mais

Cursos Online em destaque

Pesquisar produtos

Veja mais no Catálogo

Você é dentista?

Crie seu perfil para interagir com Augusto e mais 160 mil dentistas.

Conecte-se com Facebook