Dr. Anderson de Oliveira Colares (Cirurgião-Dentista)

Dr. Anderson de Oliveira Colares

E Harmonização Orofacial  (+2) •  CRO-MG 23212

Fratura dos Dentes 11 e 12... Acidente de Moto - Resinas com Pino de Fibra

  Caso clínico de Dentística     Há 14 anos

análise do caso

Prova e seleção dos pinos

Isolamento do campo

Preenchimento da porção palatina com resina A3 esmalte

Avaliação pela palatina e vestibular; visão em 3D para observar inclinações

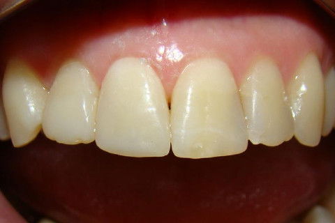
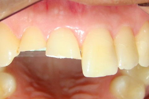
Vista Inicial

Caso Finalizado

Resumo

Paciente de sexo feminino. Sofreu fratura dos elementos 11 e 12, com exposição pulpar... Optei por tratamento endodontico em sessão única, devido a falta de infecção ou inflamação. Na sequencia, usei pinos intra-radiculares de fibra de vidro; e restaurações diretas em resina. Após uma semana fiz o polimento definitivo.

Conclusão

Tomando os devidos cuidados de checar contatos incisais, protrusão e lateralidades; isso pode durar uma eternidade. E já tem quase 24 meses. Abraços e aguardo comentários

Solicitar consulta

Dr. Anderson de Oliveira Colares (Cirurgião-Dentista)

Dr. Anderson de Oliveira Colares

E Harmonização Orofacial  (+2) •  CRO-MG 23212

Consultório de Estética Facial - Atendimento em Domicílio
Rua Duque de Caxias, nº 680C
Santa Rita I
- Montes Claros, MG
Mostrar mapa
Consultório Ortodontia Invisível Essix - Atendimento em domicílio
Rua Duque de Caxias, 680
Santa Rita I
- Montes Claros, MG
Mostrar mapa