Coroas Totais Anteriores em Cerâmica

  Caso clínico, 22 de Jan de 2013

Resumo

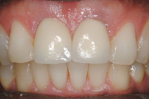
O paciente M.C.S., 42 anos procurou atendimento queixando-se da "aparência de seu dentes da frente", relatando que, "quando criança, sofreu uma queda e bateu os dentes da frente". Relatou também que após este trauma, ele não pôde tratar o canal dos dentes (por dificuldades financeiras) e que sentia vergonha de seus dentes. Se passaram 30 anos e ele finalmente conseguiu realizar a o tratamento endodôntico do 11 e 21. Pode-se notar que houve reabsorção radicular externa e grande perda de estrutura interna de dentina.

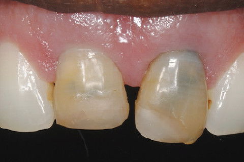
Foram feitos núcleos em fibra de vidro, preparo de coroa total e provisórios em ambos os dentes em questão. Já com os provisórios em posição, o paciente já se sentiu muito mais confiante ao sorrir, conversar e socializar. O material que escolhi para as coroas foi o inCeram.

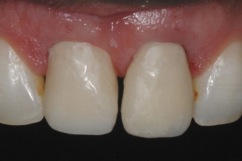
Na consulta seguinte, os copings em alúmina vieram do laboratório e foi feita a prova dos mesmos, que retornaram ao laboratório para a aplicação da cerâmica sobre os copings e o glaze final.

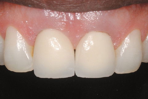
A prova final das coroas foi feita e elas foram cimentadas com cimento resinoso.

Eu e o paciente ficamos muito felizes e animados com o resultado.

Fotos do caso

Conclusão

O sistema inCeram se mostrou uma ótima opção para restaurações anteriores que necessitam de muita estética. É um material fácil de trabalhar e os resutados são excelentes. Tudo depende de um bom planejamento e de uma boa indicação do material.

Envie seu comentário

Cadastre-se grátis e opine sobre este caso clínico.

Autor

Veja mais

Dr. Daniel Guião

Especialista em Implantodontia

 Belo Horizonte, MG

Possui graduação em Odontologia pela Pontifícia Universidade Católica de Minas Gerais (2011), cuja monografia teve o título: "Alterações dimensionais em moldes de alginato... Leia mais

Cursos Online Dr. Daniel Guião

Pesquisar produtos

Veja mais no Catálogo

Você é dentista?

Crie seu perfil para interagir com Dr. Daniel e mais 160 mil dentistas.

Conecte-se com Facebook