Leonardo Soares de Lima Nunes (Ortodontista e Ortopedista F M)

Leonardo Soares de Lima Nunes

E Ortopedia Funcional dos Maxilares  (+1) •  CRO-RS 9078

Tratamento Ortodôntico Autoligável com Sistema Damon

  Caso clínico     Há 14 anos

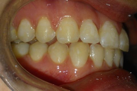
lado direito inicial

dia da colagem da arcada superior e 3 semanas da instalação do inferior

3 semanas após (consulta realizada para sanar dúvida da paciente sobre uma restauração antiga, pois o retorno para revisão da orto será em 7 semanas)

primeira troca de fios (10 semanas da colagem superior)

segunda troca de fios (seis meses após a anterior, devido a quebra de bráquetes e demora na realizacão de radiografia de controle).

dois meses após, terceira troca de fios

pequena mecânica de elásticos de classe II (4 meses após ultima foto)

DOBRAS DE ACABAMENTO E ELÁSTICO CONTINUO PARA CONSOLIDAÇÃO DE ESPAÇOS.

REMOÇÃO APARELHO.

Resumo

Em março deste ano passamos a executar os tratamentos ortodônticos com o Sistema Damon. Mudamos devido as grandes vantagens biofuncionais (menor probabilidade de reabsorção radicular, melhor qualidade óssea ao final do tratamento, menos dor, menor acumulo de bactérias devido a ausência de borrachinhas), vantagens estéticas (produz um sorriso mais "amplo", sem ser expansionista - devido aos torques diferenciados nos molares, que mantém os mesmos verticalizados durante e após o tratamento) e vantagens na comodidade dos pacientes (tratamento mais rápido e menor número de consultas, a periodicidade chega a 10 em 10 semanas). Este caso demonstra a evolução da fase inicial da ortodontia. Paciente com disfunção articular de origem muscular com sintomatologia elevada, combinamos montagem da arcada inferior com bite turbos, caso a dor não cedesse usaríamos órtese na arcada superior. Passada uma semana paciente relatou não ter mais dor. Então instalamos a arcada superior na terceira semana. Repare nas fotos o nivelamento e o ganho de altura adquirido em 3 e 6 semanas.

Conforme avançarmos no tratamento postarei as fases seguintes.

Solicitar consulta

Leonardo Soares de Lima Nunes (Ortodontista e Ortopedista F M)

Leonardo Soares de Lima Nunes

E Ortopedia Funcional dos Maxilares  (+1) •  CRO-RS 9078

Consultório LCSmiles
Avenida Protásio Alves, nº 584, sala 402
Rio Branco
- Porto Alegre, RS
Mostrar mapa