Restauração de Dente Conóide.

  Caso clínico, 26 de Dez de 2014

Resumo

RESUMO:

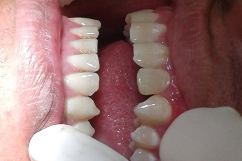
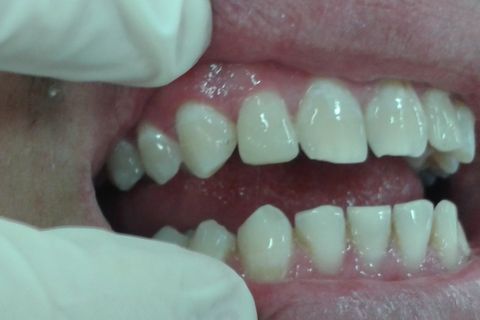
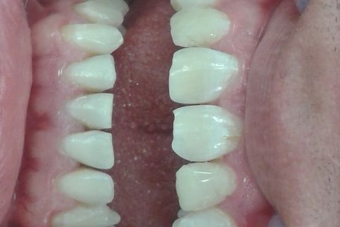
  • Como o próprio nome define, “dentes conóides” são elementos dentários em forma de cone, e menores do que seu tamanho habitual, sendo de cunho genético e ocorrendo mais em mulheres. Esse trabalho visa apresentar um caso clínico realizado por alunos da UNIP – Universidade Paulista na disciplina de Dentística no ano de 2013, em que o paciente apresentava dentes conóides, e foram realizadas suas restaurações. Paciente, gênero masculino, 32 anos, possuía o 12 e 22 conóides. Foi realizada a aplicação de ácido fosfórico 37% por toda a coroa durante 15 segundos, seguida de sua lavagem pelo mesmo tempo. Depois aplicou-se adesivo, novamente por toda a coroa, e feita a fotopolimerização, sob isolamento relativo. Com a tira de poliéster, apoiada por palatina, foi sendo reconstruída a base com resina composta A2 da marca 3M, aplicada em incrementos, seguida de fotopolimerização por 20 segundos. Sobre a A2, confeccionou-se uma camada de resina composta cor de dentina, também da marca 3M, para deixar o resultado final o mais próximo de um dente natural, com a mesma técnica citada anteriormente. Por fim, foi utilizada novamente a resina composta A2. Para dar forma à restauração, optou-se por serem utilizadas as tiras de lixa Sof-lex na cor azul clara, por serem mais delicadas, assim, quando a luz refletisse no elemento dental, conseguiria deixar com uma aparência mais natural.

Fotos do caso

Envie seu comentário

Cadastre-se grátis e opine sobre este caso clínico.

Autor

Veja mais

Dr. Bruno Almeida

Cirurgião-Dentista

 Sorocaba, SP

Bruno Almeida é estudante de odontologia em Sorocaba, SP pela UNIP - Universidade Paulista (Sorocaba) e irá se formar em 2014.

Cursos Online em destaque

Pesquisar produtos

Veja mais no Catálogo

Leia também

Você é dentista?

Crie seu perfil para interagir com Dr. Bruno e mais 160 mil dentistas.

Conecte-se com Facebook