Dr. Alessandro Biscaro (Cirurgião-Dentista)

Dr. Alessandro Biscaro

E Cirurgia e Traumatologia Buco-Maxilo-Faciais  (+1) •  CRO-SP 54516

Enxerto Ósseo Autógeno em Região de Incisivos Superiores e Posterior Instalação de Implantes

  Caso clínico de Implantodontia     Há 13 anos

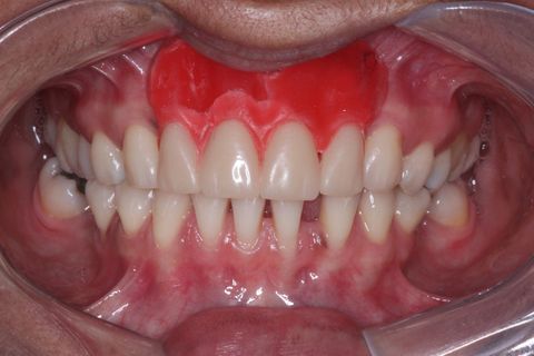
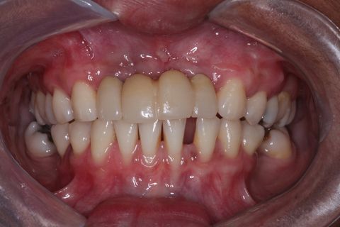
Foto Inicial. Paciente fazendo uso de Prótese Parcial removível.

Foto Perfil (uso de espelho). Lado esquerdo

Foto Perfil (uso de espelho). Lado Direito

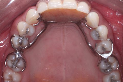
Foto oclusal superior

Foto Oclusal inferior

Foto Oclusal superior sem a Prótese Parcial removível

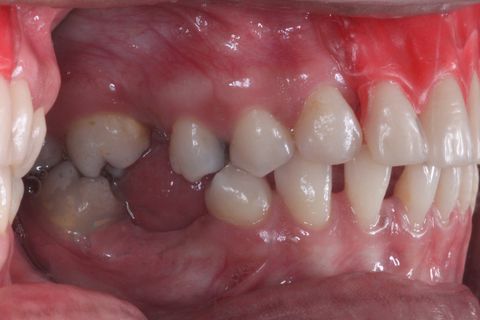
Foto oclusal aproximada, realçando o defeito ósseo na região vestibular

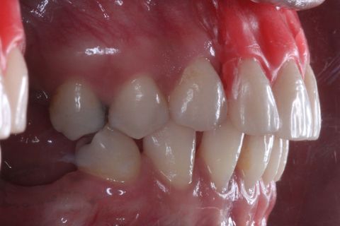
Foto perfil aproximada.

Foto perfil aproximada.

Foto perfil aproximada. Acentuado defeito ósseo na região vestibular

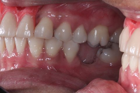
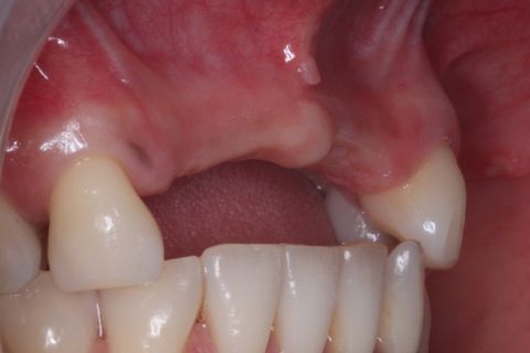
Foto de frente sem a Prótese Parcial Removível

Notar defeito ósseo.

Planejamento Protético. Montagem de dentes de estoque em placa de resina. A cera vermelha mostra a quantidade de osso perdido

Planejamento Protético . Foto Perfil

Planejamento Protético . Foto Perfil aproximado

Planejamento Protético . Foto Perfil

Planejamento Protético . Foto Perfil

Planejamento Protético. Foto Sorriso

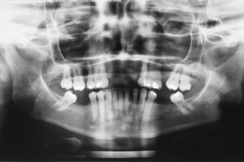
Radiografia Panorâmica inicial

Procedimento cirúrgico. Incisão Supra crestal, intra-sulcular e oblíqua na distal dos caninos

Área receptora. Descolamento mucoperiosteal. Notar o defeito ósseo côncavo na região de incisivos

Área doadora: Ramo mandibular ascendente lado direito

Área doadora: Ramo mandibular ascendente lado direito, após a remoção do bloco ósseo.

Bloco ósseo removido.

fixação do bloco ósseo com parafusos de cabeça expandida Neodent.

Sutura

Novo procedimento cirúrgico após 6 mêses. Incisão

Descolamento Mucoperiosteal. Notar o ganho em expessura óssea.

Guia Cirúrgico e paralelizadores conferindo o ângulo de Fresagem/Inserção dos implantes

Implantes Neodent Instalados

Instalação de parafusos de proteção com 2mm de comprimento

Sutura final

Provisórios instalados . Foto com um ano e meio após a instalação do enxerto e dos implantes. Paciente não compareceu antes para a finalização do trabalho devido problemas particulares

Minipilares instalados. Nota-se apenas 3 minipilares pois um dos implantes foi perdido. Instalamos um novo implante que também foi perdido. Optamos em manter apenas 3 implantes e finalizar a prótese fixa parafusada.

Prova da Subestrutura metálica

Seleção de cor. A aplicação da cerâmica ainda não está concluída. Assim que finalizarmos o caso as fotos serão incluídas.

Resumo

Paciente do sexo feminino, 32 anos e 10 mêses de idade, com ausência dos incisivos centrais e laterais superiores, associado a um defeito ósseo vestibular côncavo. Realizamos planejamento reverso, ou seja, enceramento diganóstico prévio para avaliação do defeito ósseo em termos de quantidade e do posicionamento final das próteses. A paciente foi submetido a um enxerto ósseo autógeno do ramo ascendente lado direito e fixação dos blocos ósseos na área receptora, com fixação dos mesmos através de parafusos de fixação com cabeça expandida Neodent. Após 6 meses foram instalados 4 implantes Neodent.

O caso clínico ainda está em andamento. A paciente atualmente está fazendo uso de próteses provisórias e está sendo feito controle gengival para posteriormente serem instaladas a prótese definitivas.

Solicitar consulta

Dr. Alessandro Biscaro (Cirurgião-Dentista)

Dr. Alessandro Biscaro

E Cirurgia e Traumatologia Buco-Maxilo-Faciais  (+1) •  CRO-SP 54516

Consultório Consult - Clínica Médica e Odontológica
Av. Dr. Soares Hungria, 99
Centro
- Tietê, SP
Mostrar mapa