Concussão em Decíduos

  Caso clínico, 18 de Nov de 2010

Resumo

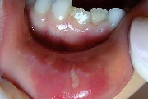
Menino de 6 aninhos sofreu um traumatismo ontem na hora do recreio, lá na escolinha aonde atendo, bateu a boquinha na mesa na hora do lanche.

Examinei-o e constatei ter sofrido apenas uma concussão.

CONCUSSÃO é o trauma dentário menos agressivo que se apresenta.

Sem consequências aparentes ao exame clínico, nenhum dano ao tecido dentário, com pequena agressão aos tecidos de suporte e os dentes apresentam pequena sensibilidade ao toque.

Obs: As duas últimas fotos foram tiradas hoje (24 hs depois).

Fotos do caso

Envie seu comentário

Cadastre-se grátis e opine sobre este caso clínico.

Autora

Veja mais

Dra. Alda Oliveira

Cirurgiã-Dentista

 Areado, MG

ENDODONTISTA
Clínica Geral para crianças, adultos e idosos; Dentística Estética; Cirurgia; Próteses; Ortodontia e OFM.

Cursos Online em destaque

Pesquisar produtos

Veja mais no Catálogo

Leia também

Concussão em Dente Decíduo

  Caso clínico em Odontopediatria

Traumatismo Dentário

  Caso clínico em Endodontia

Aqui, Só Exo de Decíduos! :-)

  Caso clínico em Odontopediatria

Você é dentista?

Crie seu perfil para interagir com Dra. Alda e mais 160 mil dentistas.

Conecte-se com Facebook