São Leopoldo Mandic (Instituição de Ensino)

São Leopoldo Mandic

Tratamento Ortodôntico Não Cirúrgico de Classe Iii em Paciente Adulto

  Caso clínico de Ortodontia     Há 6 anos

Resumo

Autor: Prof. Elcy Pinto de Arruda - Mestre em Odontologia e especialista em Ortodontia e Ortopedia Facial, DTM e Dor Orofacial - Professor de cursos de pós-graduação na Unidade Curitiba, da Faculdade São Leopoldo Mandic

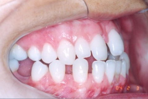
Má oclusão de Classe III e a queixa principal foi falta de estética no sorriso “com grande espaço entre os dentes”. Temos a face com bom equilíbrio muscular, lábios selados passivamente, perfil suavemente convexo.

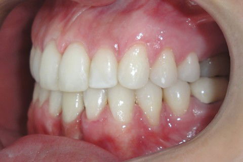
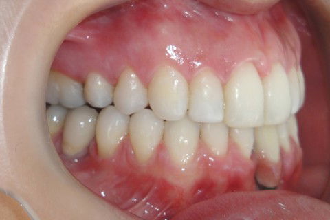
Sequência clínica

Instalado aparelho ortodôntico prescrição Roth slot 0,022” X 0,025” standard. No arco inferior, a primeira fase incluiu retração inicial dos caninos com arco lingual e a mecânica segmentada para melhor controle da ancoragem.

A retração foi alternada com amarrilho peixinho e elásticos de classe III.

Assim que preparamos o espaço para os implantes, estes foram instalados e não foram usados para ancoragem. Na etapa de finalização, antes da retirada do aparelho, colocaram-se as próteses sobre os implantes.

Referências:

Guedes FP, Araújo MC, Medeiros RFB, Capelozza L Filho, Cardoso MA. Metas terapêuticas individualizadas no tratamento ortodôntico compensatório das más oclusões do padrão III: relato de caso. Ortho Sci, Orthod sci pract. 2012;5(17):60-71.

Bilodeau JE. Nonsurgical treatment of a Class III patient with a lateral open-bite malocclusion. Am j orthod dentofacial orthop. 2011 Dec;140(6):861-8.

Araújo EA, Araújo CV. Abordagem clínica não-cirúrgica no tratamento da má oclusão de Classe III. R Dental Press Ortodon Ortop Facial. 2008 Dez;13(6):128-56.

Lin J, Gu Y. Preliminary investigation of nonsurgical treatment of severe skeletal class III malocclusion in the permanent dentition. Angle orthod. 2003;73(4):401-10.

Lowenhaupt EB. Compromised nonsurgical treatment of a patient with a severe class III malocclusion. International Dentistry SA. 2009 Jun;11(3):52-61.

Daher W, Caron J, Wechsler M. Nonsurgical treatment of na adult with a Class III malocclusion. Am J Orthod Dentofacial Orthop 2007;132:243-51.

Rabie A-BM, Wong RWK, Min GU. Treatment in borderline class III malocclusion: orthodontic camouflage (extraction) versus orthognathic surgery. Open dent J. 2008;2:38-48.

Janson G, Maranhão OBV. Compensatory Class III malocclusion treatment associated with mandibular canine extractions. Dental Press Journal ofOrthodontics. 2017;22(6):86-98. doi:10.1590/2177-6709.22.6.086-098.bbo.

Solicitar consulta

São Leopoldo Mandic (Instituição de Ensino)

São Leopoldo Mandic

Campus Fortaleza
Rua Padre Valdevino, 1415
Centro
- Fortaleza, CE
Mostrar mapa
Campus Brasília
SHIS QI 3, lote A, Bloco E – Centro empresarial Terracotta
Lago Sul
- Brasília, DF
Mostrar mapa
Campus Vila Velha
Avenida Jerônimo Monteiro, 555
Glória
- Vila Velha, ES
Mostrar mapa
Campus Unidade Belo Horizonte
Avenida Assis Chateaubriand, 457
Floresta
- Belo Horizonte, MG
Mostrar mapa
Campus Curitiba
R. Fernandes de Barros, 1752
Hugo Lange
- Curitiba, PR
Mostrar mapa
Campus Rio de Janeiro
Rua Sorocaba, 316
Botafogo
- Rio de Janeiro, RJ
Mostrar mapa
Campus Porto Alegre
Avenida Loureiro da Silva, 2001
Cidade Baixa
- Porto Alegre, RS
Mostrar mapa
Campus Campinas
Rua José Rocha Junqueira, 13
Swift
- Campinas, SP
Mostrar mapa
Campus São Paulo
Rua Caiubí, 181
Perdizes
- São Paulo, SP
Mostrar mapa