Dra. Priscila Machado Tavares da Silva (Cirurgiã-Dentista)

Dra. Priscila Machado Tavares da Silva

E Periodontia •  CRO-SP 105104

Retenção Prolongada de Dente Decíduo em Decorrência de Traumatismo

  Caso clínico de Odontopediatria     Há 13 anos

Resumo

INTRODUÇÃO

O traumatismo de dentes decíduos é comum em crianças e principalmente em incisivos superiores, devido a sua posição mais anterior na face. O tratamento deve envolver o atendimento de urgência, o tratamento do trauma e o acompanhamento das consequências para a dentição decídua e permanente. (1)

Várias são as sequelas que podem acometer a dentição decídua após um traumatismo, variando de acordo com a intensidade e o tipo de trauma ocorrido. Dentre elas estão a hiperemia pulpar, necrose (que pode ou não estar relacionada com as reabsorções dentárias internas ou externas) e a retenção prolongada. Na retenção prolongada, observa-se persistência do dente decíduo e ausência ou erupção ectópica de seu sucessor permanente. Radiograficamente pode-se observar formação radicular do dente permanente maior do que 1/3. O tratamento indicado é a exodontia do decíduo, pois nesses casos não acontece o processo fisiológico de rizólise na raiz deste dente. (2)

O traumatismo na dentição decídua pode lesionar o germe dentário em formação, devido à proximidade anatômica da raiz do dente decíduo com a coroa do germe do permanente. O grau de acometimento varia de acordo com o tipo de trauma e o estágio de desenvolvimento do dente permanente, sendo os estágios iniciais de mineralização mais suscetíveis a sequelas. (3)

O mal posicionamento do dente permanente pode ocorrer devido ao trauma no dente decíduo e a intervenção deve ser imediata para prevenir traumas futuros que levem a sua fratura ou perda.

O tratamento pode ser conservador, apenas com exposição da coroa na cavidade bucal, com a eliminação dos tecidos gengival, ósseo e pericoronário localizados sobre a coroa dental a fim de facilitar sua irrupção por um processo natural. (4)

Pode ser necessário realizar exposição do dente permanente e tracionamento com aparatos ortodônticos. (5)

CASO CLÍNICO

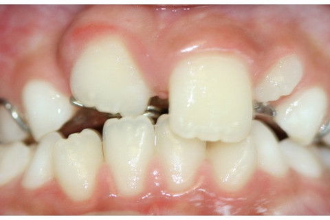
Paciente GOA, sexo masculino, 9 anos e 5 meses. Com 1 ano e 8 meses, sofreu um trauma frontal ao escorregar na cozinha. O dente 51 sofreu luxação.

Ao exame clínico observou-se persistência do dente decíduo e erupção ectópica por palatina do sucessor permanente.

Foi solicitada radiografias e telerradiografia para observar quantidade de rizólise e rizogênese das dentições. Na radiografia periapical suspeitou-se de dilaceração coronoradicular do 11, porém, na telerradiografia a suspeita não foi confirmada.

Foi realizada a exodontia do dente 51. Observa-se o dente 11 irrompendo por palatina, necessitando de tratamento ortodôntico.

Aguardou-se 3 semanas para que o dente 11 erupcionasse, e então foi instalado o aparelho com o helicóide a fim de descruzar o dente 11. Observou-se também, mordida cruzada posterior e ausência de espaço para os dentes 12 e 22, necessitando de encaminhamento para continuidade no tratamento ortodôntico.

* Caso Clínico apresentado no curso de Odontopediatria da Universidade de São Paulo e realizado por Silva PMT, Pedrosa MML, Chu J, Bandeira ACAP sob supervisão de Guglielmi CAB, Lara JS, Tedesco TK, Wanderley MT.

Conclusão

O traumatismo sofrido acarretou a retenção prolongada com desvio do eixo de irrupção do dente permanente. Após a extração do dente decíduo e instalação do aparelho ortodôntico conseguiu-se suficiente vestibularização e descruzando o dente 11.

Concluiu-se que, apesar da retenção prolongada ser um fator importante no estabelecimento de mau posicionamento de dentes permanentes, a utilização de aparelhos ortodônticos instalados logo após a exodontia do dente decíduo em questão é essencial para guiar a irrupção do dente permanente sucessor.

Referências

1. Wanderley, MT. Como tratar dentes traumatizados ou perdidos traumatismo em dentes decíduos e suas repercussões para as dentições. Anais do 15° Conclave Odontológico Internacional de Campinas ISSN 1678-1899- n.104 - Mar/Abr – 2003

2. Guedes-Pinto, AC. Odontopediatria. São Paulo. Editora Santos. 8ª edição. Edição Ouro, 2010

3. Losso, EM; Tavares, MCR; Reis, MC; Bertoli, FMP; Baratto-Filho, F. Traumatismo dentoalveolar na dentição decídua.RSBO. 2011

Solicitar consulta

Dra. Priscila Machado Tavares da Silva (Cirurgiã-Dentista)

Dra. Priscila Machado Tavares da Silva

E Periodontia •  CRO-SP 105104

Consultório Dra Priscila Tavares
Avenida Andrômeda, nº1470
Bosque dos Eucaliptos
- São José dos Campos, SP
Mostrar mapa