Dr. Maurício Spillere Santos (Cirurgião-Dentista)

Dr. Maurício Spillere Santos

E Prótese Dentária  (+1) •  CRO-SC 7984

Reanatomização e Recontorno Cosmético de Dentes Anteriores com Anomalia de Forma - Laterais Conóides

  Caso clínico de Dentística     Há 10 anos

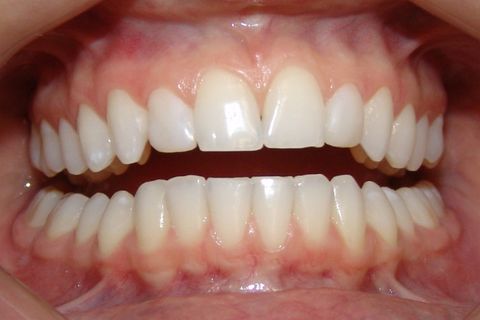
Clínica Odontológica M & M Dentalli - Dr. Maurício Spillere Santos - Foto Inicial 1.0

Clínica Odontológica M & M Dentalli - Dr. Maurício Spillere Santos - Foto Inicial 1.1

Clínica Odontológica M & M Dentalli - Dr. Maurício Spillere Santos - Foto Inicial 1.2

Clínica Odontológica M & M Dentalli - Dr. Maurício Spillere Santos - Foto Final 1.0

Clínica Odontológica M & M Dentalli - Dr. Maurício Spillere Santos - Foto Final 1.1

Clínica Odontológica M & M Dentalli - Dr. Maurício Spillere Santos - Foto Final 1.2

Resumo

Paciente, 20 anos, sexo feminino, procurou a Clínica Odontológica M &M Dentalli com as sequintes queixas: descontentamento com a estética e vergonha ao sorrir.

Atualmente, com a crescente informação e conscientização, os pacientes passaram a exigir soluções estéticas para reaver a naturalidade de uma condição inicial perdida ou corrigir alterações de cor, textura, forma, tamanho e posição, obtendo um resultado final natural e harmônico. Dessa forma, tratamentos restauradores são empregados mesmo sem a existência de lesões cariosas.

Os incisivos conóides acometem cerca de 1,03% da população, incidem indistintamente em ambos os lados da arcada dentária, normalmente são unilaterais e mais comuns no sexo feminino.

Neste caso, a paciente apresenta a anomalia bilateralmente.

Para a resolução desses casos, pode ser indicada a confecção de coroas totais e/ou facetas de porcelana.

Com excelente qualidade, vários sistemas restauradores adesivos foram introduzidos no mercado, permitindo que procedimentos mais conservadores possam ser utilizados na solução desses problemas. O caso apresentado ilustra a restauração de dentes conóides após clareamento dental caseiro.

Depois de anamnese, exames clínico e radiográfico, diagnóstico e planejamento, foi indicado clareamento dental e a técnica adesiva direta.

Conclusão

A correta seleção de materiais e reprodução da cor, contorno e textura superficial do elemento dentário são fundamentais, e a manutenção por parte do paciente é indispensável para a preservação do trabalho e da saúde bucal.

A realização de restaurações estéticas é uma realidade dentro da Clínica Geral. Antes de decidir qual o procedimento clínico adotar, é necessário verificar os anseios do paciente. Esta postura favorece o resultado. Restaurações adesivas diretas constituem uma opção segura para o tratamento de dentes conóides e foi a terapêutica de escolha após o clareamento dental devido ao número reduzido de consultas proporcionando maior rapidez para a conclusão deste caso.

Referências

PEDRINI D, JARDIM P. S, POI W. R, Transformação de Dente Conóide e Fechamento de Diastema em Clínica Geral, 2000.

Solicitar consulta

Dr. Maurício Spillere Santos (Cirurgião-Dentista)

Dr. Maurício Spillere Santos

E Prótese Dentária  (+1) •  CRO-SC 7984

Clínica Odontológica M & M Dentalli
Rua Coronel Pedro Benedet, nº 505 - Millenium Saúde Center - Sala 202
Centro
- Criciúma, SC
Mostrar mapa