Kulzer (Produtos Odontológicos)

Kulzer

Tratamento dos Maxilares Atróficos Sem Enxerto Ósseo: Apresentação de Três Casos Clínicos

  Caso clínico de Dentística     Há 7 anos

Capa

O planejamento inicial através da avaliação sistêmica do paciente e análise extra e intra-oral.

Avaliação do suporte de labial

Avaliação dos exames tomográficos, planejamento e cirurgia virtual

Cirurgia do protótipo

Escolha dos dentes através da análise facial e aspectos intra-bucais

Etapa 1 - Moldagem inicial para registro e montagem dos dentes. Etapa 2 - Prova estética pré-operatória intra-oral

Prova estética pré-operatória extra-oral

Confecção e prova do guia multifuncional

Fase cirúrgica

Técnica All-on-4: Caso 1 e 3 implantes inclinados, Caso 2: Associado ao implante zigomático

Prova da barra e dos dentes

Confecção da prótese do tipo protocolo

Instalação da prótese do tipo protocolo após 3 dias

Vista oclusal

Suporte labial

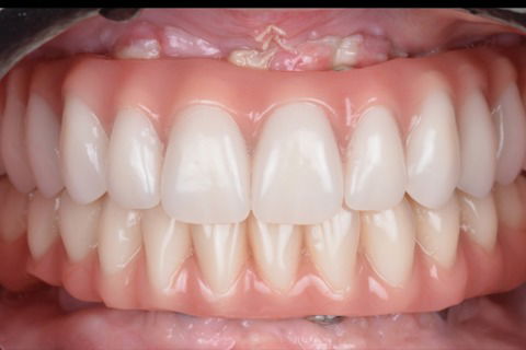
Sorriso final

Resultado final imediato dos 3 casos clínicos

Resumo

O paciente portador de prótese total de longo prazo apresenta dificuldade funcional e estética como resultado do processo contínuo de reabsorção dos maxilares, o que dificulta o estabelecimento da harmonia facial. Para o tratamento reabilitador ideal a proposta de utilizar implantes dentários possibilita o posicionamento dos dentes de forma adequada, associada à escolha do formato anatômico que melhor atenda às características individuais de cada paciente.

O objetivo do presente relato é demonstrar o fluxo de trabalho através da apresentação resumida de 3 casos clínicos para o tratamento dos maxilares atróficos sem a utilização de enxerto ósseo com a reabilitação protética imediata utilizando próteses do tipo protocolo.

Autora: 

Dra. Fernanda Werneck – Especialista em Prótese Dentária – Professora do curso de Imersão em tratamento dos maxilares atróficos - IPENO – Florianópolis

fe.werneck@hotmail.com

Foto 01 - Capa

Foto 02. O planejamento inicial através da avaliação sistêmica do paciente e análise extra e intra-oral.

Foto 03. Avaliação do suporte de labial 

Foto 04 Avaliação dos exames tomográficos, planejamento e cirurgia virtual

Foto 05 Cirurgia do protótipo

Foto 06 Escolha dos dentes através da análise facial e aspectos intra-bucais

Foto 07 Etapa 1 - Moldagem inicial para registro e montagem dos dentes. Etapa 2 - Prova estética pré-operatória intra-oral

Foto 08 Prova estética pré-operatória extra-oral

Foto 09 Confecção e prova do guia multifuncional

Foto 10 Fase cirúrgica

Foto 11 Técnica All-on-4: Caso 1 e 3 implantes inclinados, Caso 2: Associado ao implante zigomático

Foto 12 Prova da barra e dos dentes

Foto 13 Confecção da prótese do tipo protocolo

Foto 14 Instalação da prótese do tipo protocolo após 3 dias

Foto 15 Vista oclusal

Foto 16 Suporte labial

Foto 17 Sorriso final

Foto 18 Resultado final imediato dos 3 casos clínicos

Kulzer (Produtos Odontológicos)

Kulzer