Kulzer (Produtos Odontológicos)

Kulzer

Estética Gengival Diferenciada em Próteses Móveis

  Caso clínico de Dentística     Há 7 anos

Visualização dos matizes do sistema Pala cre-active (Kulzer - Alemanha).

Aspecto inicial da prótese antiga.

Montagem de dentes - Dentes Classic (Kulzer - Alemanha).

Prótese total e Prótese parcial removível com enceramento gengival caracterizado, pronto para prova dos dentes, e análise da cor e característica gengival.

Prova dos dentes PT e PPR. Perceba a naturalidade obtida com o enceramento do tecido gengival.

Remoção da escultura vestibular das próteses hemi-arco.

Preparo das próteses para receber a resina Pala cre-active (Kulzer- Alemanha) com asperização por jateamento com Al2O3, e limpeza das mesmas.

Preparo das próteses para receber a resina Pala cre-active (Kulzer- Alemanha) com asperização por jateamento com Al2O3, e limpeza das mesmas.

Aplicação do agente de união entre a resina acrílica e resina composta Signum conector (Kulzer- Alemanha).

Aplicação da primeira camada do sistema Pala cre-active (Kulzer- Alemanha), na base da resina acrílica.

Definição dos contornos e começo da escultura gengival.

Aplicação dos pigmentos.

Aplicação de gel lubrificante na última camada de resina para inibir contato com oxigênio, permitindo a polimerização completa.

Prótese total e prótese parcial removível finalizadas.

Prova das próteses finalizadas.

Aspecto do caso finalizado.

Close-up do sorriso.

Resumo

A beleza do sorriso não está apenas relacionada ao posicionamento dos dentes, mas também à exposição gengival. Reproduzir essa exposição gengival da forma mais natural possível na prótese sempre foi um desafio para o técnico em prótese dental, devido à dificuldade de reproduzir as diversas nuances de cores existentes no tecido gengival. Entretanto, hoje já se consegue reproduzir uma gengiva artificial semelhante à natural, com o uso de resinas fotopolimerizáveis como é o caso do sistema Pala cre-active (Kulzer - Alemanha).

Neste contexto, destaca-se que a integração entre dentes e tecido gengival deve mimetizar o máximo possível os tecidos bucais, de forma que a prótese fique imperceptível e o paciente possa realizar todas as suas atividades diárias com qualidade de função e estética.

Esses detalhes são ainda mais importantes quando nos deparamos com casos desafiadores, como por exemplo, em pacientes que apresentam sorriso gengival, prótese unitária, e ainda situações em que o tecido gengival apresenta pigmentos específicos que as resinas acrílicas convencionais não conseguem reproduzir corretamente.

O sistema Pala Cre-active é capaz de reproduzir a gengiva artificial semelhante à natural, devido à ampla gama de cores disponíveis (Fig. 1).

Fig 1

Figura 1- Visualização dos matizes do sistema Pala cre-active (Kulzer - Alemanha).

Objetivo:

O objetivo deste trabalho é demonstrar através de um caso clínico a estratificação da resina para a caracterização gengival de próteses removíveis (Prótese Total e Prótese Parcial Removível).

Relato do caso:

Paciente do sexo feminino, I.S.L, 52 anos, procurou a clínica de Odontologia do Centro Universitário do Norte Paulista, desejando substituir sua prótese total antiga (PT). Após o diagnóstico foi proposto a confecção de duas próteses removíveis (PT e PPR), utilizando a caracterização gengival através do sistema Pala Cre-active (Kulzer).

As próteses removíveis foram confeccionadas com os dentes Classic (Kulzer – Alemanha - Fig. 2a), seguindo os princípios do planejamento reverso, sendo até a ceroplastia realizada com caracterização, na finalidade de reproduzir as cores da mucosa bucal, evitando assim uma possível discrepância de cores entre as mesmas e aumentando a previsibilidade para o paciente. Após a aprovação da paciente, foi realizada a finalização das próteses com o sistema de resinas fotopolimerizáveis Pala cre-active para gengivas, seguindo o mesmo padrão de caracterização adotado na ceroplastia.

Fig. 2a

Figura 2a- Montagem de dentes - Dentes Classic (Kulzer - Alemanha).

As vantagens na técnica clínico-laboratorial desse material em relação à técnica convencional são: facilidade na manipulação, maior gama de cores (mimetização gengival), apresentam boas propriedades mecânicas, resistência à abrasão, ou seja, baixo índice de desgaste, bom polimento, biocompatilidade semelhante as resinas compostas convencionais, facilidade de aplicação sobre as resinas acrílicas e boa adesão à superfície da prótese.

A sequência clínico-laboratorial de confecção das próteses são as mesmas do modo convencional (Fig. 2). As diferenças na confecção da PT e PPR ocorrem após a prova dos dentes em cera, na acrilização da prótese. As peculiaridades estão descritas abaixo:

Fig.2

Figura 2- Aspecto inicial da prótese antiga.

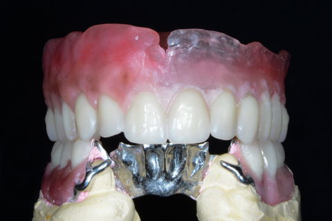
Primeiro passo: após a prova dos dentes em cera (Figs. 3 e 4), deve-se remover toda a escultura vestibular da prótese, e em seguida procede-se a acrilização parcial da base da prótese com o sistema de acrilização convencional (Fig.5 e 6).

Fig. 3

Figura 3- Prótese total e prótese parcial removível com enceramento gengival caracterizado, pronto para prova dos dentes, e análise da cor e característica gengival.

Fig. 4

Figura 4- Prova dos dentes PT e PPR. Perceba a naturalidade conseguida com o enceramento do tecido gengival.

Fig. 5

Figura 5- Remoção da escultura vestibular das próteses hemi-arco.

Segundo passo: após a acrilização parcial, realiza-se o acabamento e preparo da superfície da resina acrílica para aplicação do sistema Pala Cre-active.

Terceiro passo: Asperizar as superfícies a serem tratadas com pontas diamantadas de granulação média ou por jateamento com Al2O3 (de no mínimo 50 mícron, a uma pressão de 2 bar). Eliminar o resíduo do pó mais grosso com ar livre de óleo. Remover cuidadosamente o resíduo do pó mais fino, aderente, que influencia a união, com o auxílio de um pincel descartável com cerdas curtas e duras. Não tocar as superfícies isentas de óleo ou gordura (Figs.7 e 8).

Fig. 7 e 8

Figura 7 e 8- Preparo das próteses para receber a resina Pala cre-active (Kulzer – Alemanha) com asperização por jateamento com Al2O3, e limpeza das mesmas.

Quarto passo: a seguir, aplicar com pincel o Signum connector (Kulzer- Alemanha) em uma fina camada e deixar reagir durante 2–3 minutos, e em seguida polimerizar no aparelho HiLite® Power (aparelho fotopolimerizador, Kulzer - Alemanha), por 90 segundos(Fig. 9).

Fig. 9

Figura 9- Aplicação do agente de união entre a resina acrílica e resina composta Signum conector (Kulzer- Alemanha).

Quinto passo: depois disto, aplica-se a resina fotopolimerizável Pala cre-active (Kulzer – Alemanha) para estratificação da gengival (Figs.10 e 11). 

Fig. 10

Figura 10- Aplicação da primeira camada do sistema Pala cre-active (Kulzer-Alemanha), na base da resina acrílica.

Fig. 11

Figura 11- Definição dos contornos e início da escultura gengival com Pala cre-active (Kulzer- Alemanha).

As cores utilizadadas neste momento devem seguir o registro de cor realizado pelo cirurgião dentista, ou pela ceroplastia caracterizada (Figs.12, 13 e 14).

Fig. 12 

Figura 12- Aplicação dos pigmentos. 

Fig. 13 

Figura 13- Aplicação de gel lubrificante na última camada de resina para inibir contato com oxigênio, permitindo a polimerização completa da resina.

Fig. 14

Figura 14- Prótese total e prótese parcial removível finalizadas.

Sexto passo: polimento. Realizar o polimento da superfície de maneira habitual, com polidores de borracha e rodas de polimento de silicone e pasta de polimento universal.

Conclusão:

Seguindo os princípios biológicos e estéticos, as novas próteses alcançaram um resultado bastante satisfatório. A utilização deste novo sistema de caracterização gengival aliado as habilidades do cirurgião dentista e técnico de prótese dentária, torna possível obter uma excelente mimetização gengival (Figs.15 ,16 e 17).

Fig. 15

Figura 15- Prova das próteses finalizadas.

Fig. 16

Figura 16- Aspecto do caso finalizado.

Fig. 17

Figura 17- Close-up do sorriso.

Autores:

*Danilo de Sousa Macado aluno

TPD e aluno do curso de graduação em odontologia do Centro Universitário

do Norte Paulista-UNORP, Técnico em Prótese Dentária pela Etec Philadelpho Gouvêa Netto.

Gabriela Cordeiro Taveira - Aluna do curso de graduação em odontologia do Centro Universitário

do Norte Paulista-UNORP.

Kulzer (Produtos Odontológicos)

Kulzer