Displasia Ectodérmica Hipoidrótica - Síndrome de Christ-Siemes-Touraine

  Caso clínico, 14 de Out de 2010

Resumo

Paciente de 18 anos, negra com baixa estatura e aspecto sindrômico procura atendimento no Centro especializado médico odontológico do Municipio de Cristália - MG.

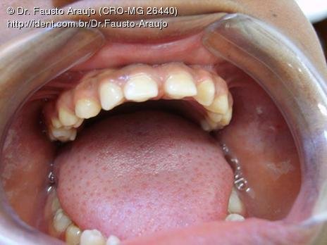
No Exame clínico foi observado diversos elementos apresetando microdontia e uma discreta macroglossia.

No exame físico a paciente apresentava pele ressecada, hipotricose e relatava não apresentara sudorese, mesmo em esforços mais acentuados.

A região frontal se apresentava proeminente com ponte nasal em forma de cela e sindactilia.

Foi realizado biopsia da palma da mão para confirma da ausência ou redução de glândulas sudoriporas.

Fotos do caso

Conclusão

Uma vez confirma a biopsia de palma de mão, realizou teste de ftaladialdeideo (usadas para identificação dos orifícios das glândulas sudoríparas), encaminhamos a paciente para o serviço de genética de Belo Horizonte onde relizou u mapeamento do DNA para fechar o diagnóstico de Síndrome de Christ-Siemes-Touraine.

Envie seu comentário

Cadastre-se grátis e opine sobre este caso clínico.

Autor

Veja mais

Dr. Fausto Araujo

Patologista

 Montes Claros, MG

Reabilitação Oral, Cirurgia buco-maxilo-facial, Periodontia, diagnóstico e tratamento das Patologias Buco-faciais

Cursos Online em destaque

Pesquisar produtos

Veja mais no Catálogo

Leia também

Você é dentista?

Crie seu perfil para interagir com Dr. Fausto e mais 160 mil dentistas.

Conecte-se com Facebook