Dentsply Sirona (Produtos Odontológicos)

Dentsply Sirona

Utilização de um Alinhador Estético Termoplastificado Previamente ao Tratamento Restaurador

  Caso clínico de Ortodontia     Há 9 anos

Modelos de gesso

Ponto do aquecimento do plástico Essix Ace 0.35

Aumentando as retenções nas ameias e sulcos

Aplicado o Essix Freeze para rápido resfriamento da placa

Polimento com rodinhas scotch-brite

Alicate mésio-distal de Hilliard

Aferindo a temperatura do alicate para uma ativação ideal no alinhador

Ativando por vestibular na região interproximal

Ativações feitas em forma de bolhas internas na interproximal por vestibular e lingual

Alicate “undercut”

Alinhador em boca exemplificando as ativações e regiões de alívio

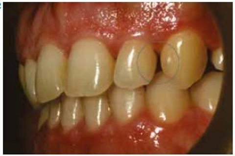
Espaço na distal do lateral após 15 dias de uso do alinhador

Resumo

Dr. Guilherme Nakagawa Santos

Cirurgião-dentista UFPR

Especialista em Ortodontia PUC-PR

Residência em Ortodontia Estética ABOL – UnicSul-SP

Por Que é Importante?

Muitas vezes os pacientes nos procuram com a queixa de “fechar os espaços entre os dentes”, sejam estes por recidivas ortodônticas ou características dentárias individuais, porém, quando analisamos clinicamente os diastemas, eles podem estar mal distribuídos ou concentrados em um único local, ficando um espaço interdental muito grande, o que pode inviabilizar a intervenção restauradora imediata. Os pacientes que se encaixam nesse quadro muitas vezes ficam descontentes com a ideia de ter de usar (ou voltar a usar) um aparelho ortodôntico convencional, e por isso alternativas podem ser utilizadas para solucionar o problema. O conceito MTM (minor tooth movement) com aparelhos termoplastificados já existe de longa data na literatura e não teve evolução científica significante até meados da década de 90. Sheridan propôs a lógica de tratamento com alinhadores,que seria composto de três elementos básicos: espaço, tempo e força. Os três juntos fariam a produção do movimento dental.1 O espaço seria o compreendido entre a placa e o dente, para onde o elemento dental se deslocará após a força ser aplicada sobre ele em determinado espaço de tempo.

Posteriormente, o Dr. Sheridan e o Dr. Hilliard desenvolveram um protocolo de movimentação dentária usando diversos termoalicates, os quais provocam um abaulamento nos alinhadores que transmitem força aos elementos dentários, causando uma resposta de movimentação para as regiões de alívio entre os dentes e o alinhador. Esse sistema de “bolha-abaulamento” para movimentação dentária2 está presente no protocolo Essix Clear Aligner (Dentsply, EUA). Com essa técnica rapidamente é possível fabricar em consultório um alinhador estético termoplastificado para movimentar os dentes e distribuir os diastemas conforme planejado para futuro tratamento restaurador estético. Essa maneira, geralmente, é muito mais bem aceita pelo paciente, pois acaba sendo um tratamento rápido e com um aparelho ortodôntico transparente, removível, de fácil higiene e adaptação, muito procurado como alternativa de tratamento ortodôntico para pacientes que preconizam a estética.

o Que é Necessário? 

• Moldeiras

• Alginato (Jeltrate Plus – Dentsply)

• Gesso do tipo IV (Durone IV - Dentsply)

• Termoplastificadora a vácuo

• Plástico Essix ACE 0.35 (Dentsply, EUA)

• Essix Freeze Spray ou similar (Dentsply, EUA)

• Qualquer instrumento com ponta ativa fina não cortante (ex.: aplicador de amarrilho elástico, sondas e esculpidores)

• Kit de Termoalicates de Hilliard (Dentsply,EUA)

• Polidores para alinhadores em peça de mão reta: escova resinada e rodinhas scotch-brite

• Maçarico ou lamparina

• Termômetro digital

• Resina fluida ou similar (Fluroshield, Dentsply)

Como Fazer?

A fabricação dos alinhadores no sistema Essix Clear Aligner (Dentsply, EUA) foi descrita por Sheridan, Hilliard e Armbruster em diversos artigos entre os anos de 1997 e 2003.2,3 Outros autores, como Spranley, Morris e badie, também relataram o passo a passo do processo e suas aplicações nos anos de 2004 e 2005.4-6 Segue abaixo a sequência de confecção de um alinhador termoplastificado feito em consultório. Após a avaliação clínica e o planejamento do caso deve-se moldar o paciente com alginato e confeccionar o modelo de trabalho com um gesso do tipo IV. Na sequência deve-se fazer o recorte do modelo logo acima do contorno gengival. Utilizando uma resina fluida (Fluroshield, Dentsply,EUA), deve-se criar regiões de alívio no modelo para os dentes se movimentarem dentro do alinhador (Fig. A). Alguns autores recomendam criar o alívio com escultura em resina composta, acrílico ou triad gel (material americano da Dentsply que é fotopolimerizável e feito para criar alívios, planos de mordida e esplintagens), porém a escolha não influencia no resultado, e cabe ao ortodontista decidir qual a melhor opção. Na sequência, deve-se primeiramente pré--aquecer a plastificadora a vácuo e posicionar o modelo em sua base. Com ela aquecida, move- -se a fonte de calor sobre o plástico Essix ACE 0.35 e aguarda-se que ele desça até 1/2 ou 3/8 da altura. Então se pode acionar a máquina e deixá-la em funcionamento por aproximadamente 20 segundos. Durante esse tempo deve—se pressionar as ameias dentárias e sulcos com a ponta ativa de qualquer instrumento fino, com a intenção de aumentar a retenção. Na sequência se deve rapidamente aplicar o spray Essix Freeze sobre a placa, para causar um imediato resfriamento e contração dela, melhorando ainda mais a adaptação sobre o modelo (Fig. B1-B3). Após remover o alinhador do modelo, faz-se o recorte e polimento de suas bordas (Fig. C). Deve-se aquecer a ponta ativa do termoalicate mésio-distal (Fig. D1) até a temperatura no termômetro digital marcar aproximadamente 95- 110 °C (Fig. D2). Logo após, rapidamente se posiciona o alicate na região interproximal do dente a ser movido e faz-se a ativação no alinhador por vestibular e por lingual, criando duas bolhas internas no alinhador (Fig. D3). Essas bolhas irão pressionar a região interproximal por vestibular e por lingual, provocando uma resultante de força que vai distalizar ou mesializar o elemento dentário em direção ao alívio, de acordo com o planejamento do ortodontista (Fig. D4). Ao inserir o alinhador em boca, deve-se verificar se há áreas de isquemia gengival. Caso haja, deve-se aliviar o alinhador por meio de desgastes em sua borda, e também avaliar se houver sobra na borda incisal 

dos dentes. Se isso ocorrer, é indicado fazer exercícios de compressão das arcadas para que o alinhador se adapte nas horas seguintes, otimizando o movimento dentário. As ativações mésio-distais devem ser feitas progressivamente, em consultas quinzenais, checando sempre a retenção do alinhador e aumentando-a, se necessário, nas regiões interproximais com o termoalicate “undercut” (Fig. E). Após três ou quatro ativações no mesmo local, é indicado repetir as etapas para confeccionar um novo alinhador. Uma paciente veio à clínica com a queixa de ter os incisivos laterais muito pequenos e também gostaria de fechar os espaços nas distais dos caninos. Foi proposto um tratamento com alinhador para distalizar os caninos e distribuir os diastemas entre os incisivos, para então realizar um tratamento restaurador anterior estético. Observe a Figura E1, com o alinhador em boca, exemplificando as regiões de ativações e alívios para a distalização dos lementos 13 e 23. Após 15 dias de uso, verificamos (Figura E2) o surgimento do diastema na distal do incisivo laterossuperior.Continuando com essa mecânica de movimentos mésio-distais com alinhadores, será possível dissolver os diastemas que estavam concentrados nas distais dos caninos e harmonizá-los entre os incisivos centrais e laterais, para então escolher o tratamento restaurador estético juntamente com o paciente. Quando os diastemas estiverem bem distribuídos será indicada uma avaliação final da oclusão, pois podem surgir contatos prematuros. Caso isso aconteça, deve-se fazer um ajuste oclusal, para então prosseguir com o planejamento restaurador estético, fechando os diastemas anteriores.

Conclusão

Considerações finais

Como mostrado nesta dica, essa técnica com o Essix Clear Aligner é de grande valia na prática clínica do ortodontista para casos de pequenos movimentos dentários. Podemos listar algumas vantagens: grande aceitação dos pacientes; fácil confecção, evitando a terceirização do produto e, assim, aumentando a lucratividade do profissional; removível e de fácil higiene; transparente, para manter a estética durante o tratamento; consultas rápidas; não causam efeitos colaterais de movimentação indesejada nos outros dentes; tratamento rápido.

Artigo publicado na revista Dicas da Editora Ponto. 

Referências

1. Sheridan J. The physiological rationale for airrotor stripping. J Clin Orthod. 1997;31(2):109-12. 2. Sheridan J, Hilliard K, Armbruster P. Essix appliance technology: applications, fabrication, and rationale. GAC International; 2003.

Solicitar consulta

Dentsply Sirona (Produtos Odontológicos)

Dentsply Sirona

Centro de treinamento Ed. Toronto - Sala 11 e 12
Avenida das Américas, nº3500
Barra da Tijuca
- Rio de Janeiro, RJ
Mostrar mapa
Centro de treinamento São Paulo Center
Avenida Jabaquara, nº 2958
Mirandópolis
- São Paulo, SP
Mostrar mapa