Dentsply Sirona (Produtos Odontológicos)

Dentsply Sirona

Microlaminados Cerâmicos e Implantes Estreitos – Reabilitação Estética em Agenesia de Incisivos Laterais

  Caso clínico de Implantodontia     Há 11 anos

Resumo

Relato de caso Prof. Dr. Márcio Buffoni D'Ávila e Silva, Prof. Dr. José Pedro Issy Júnior, Prof. Dr. Thiago do Oliveira Tomaselli e Prof. Dr. Ricardo Moreno Bonilha Neto.

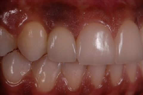
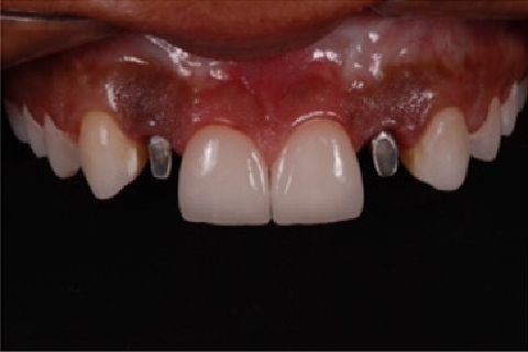
''Neste caso, a paciente gostaria de melhorar a estética do seu sorriso, prejudicada pela agenesia de ambos os incisivos laterais superiores. Devido à baixa disponibilidade óssea, observada na tomografia computadorizada, optou-se pela instalação de implantes estreitos (Xive – Dentsply Implants – 3.0 mm de diâmetro) com regeneração simultânea (Biooss e Biogide – Geistlich), ao invés de realizar enxerto ósseo prévio. Após osseointegração, foi realizado condicionamento gengival com provisórios e novo enceramento diagnóstico. O caso foi finalizado com coroas livres de metal sobre os implantes e microlaminados cerâmicos sobre os incisivos centrais (e.max - dissilicato de lítio – Ivoclar Vivadent), visando o mínimo desgaste de estrutura dental sadia. ''

Prof. Dr. Márcio Buffoni D'Ávila e Silva

Solicitar consulta

Dentsply Sirona (Produtos Odontológicos)

Dentsply Sirona

Centro de treinamento Ed. Toronto - Sala 11 e 12
Avenida das Américas, nº3500
Barra da Tijuca
- Rio de Janeiro, RJ
Mostrar mapa
Centro de treinamento São Paulo Center
Avenida Jabaquara, nº 2958
Mirandópolis
- São Paulo, SP
Mostrar mapa