ANGELUS (Produtos Odontológicos)

ANGELUS

Microcirurgia Endodôntica como Tratamento Complementar de um Retratamento Endodôntico de Canais com Obturação de Cones de Prata

  Caso clínico     Há 6 anos

Radiografia inicial

Vista do canal obturado da parte coronária do Cone de Prata

Primeira Separação do Cone de Prata

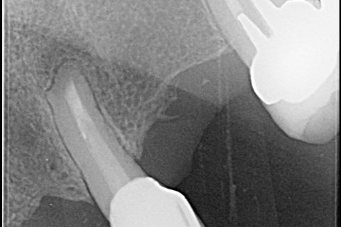
Expulsão do Cone de Prata

Obturação Endodôntica

Terço apical após apicectomia

Remoção Microcirúrgica do Cone de Prata

Remoção Cirúrgica do Cone de Prata

Preparação Retrógrada

Obturação Retrógrada

Raio X imediatamente após a cirurgia

Acompanhamento após 6 meses

Resumo

Relato de Caso Clínico

O retratamento endodôntico é indicado em casos de falha de um tratamento endodôntico anterior. O principal objetivo do tratamento endodôntico e do retratamento é limpar e desinfetar toda a extensão do sistema do canal radicular até um nível saudável (Siqueira et al., 2000). Quando, através de um tratamento meticuloso, tais objetivos são alcançados, as taxas de sucesso podem exceder 94% (Imura et al. 2007; Lazarski et al. 2001).

A fim de limpar o sistema de canal radicular para alcançar o melhor prognóstico de um retratamento, um passo importante é a remoção total da obturação do canal radicular obtendo um novo acesso ao ápice. Limpeza inadequada dos canais, especialmente do terço apical, predispõe a falhas endodônticas (Sjogren et al 1990; Nair PN et al 1990). Em algumas situações clínicas tais como a presença de pinos e núcleo, instrumentos separados e cones de prata, este livre acesso ao ápice nem sempre é fácil. Na verdade, este é um dos mais difíceis procedimentos cirúrgicos em Endodontia.

Estes materiais, especialmente os materiais metálicos, podem causar obstruções severas bloqueando a passagem de um instrumento endodôntico. Deixar intencionalmente parte desses materiais no canal pode levar a uma desinfecção endodôntica insuficiente. Uma falha na remoção da obstrução endodôntica pode resultar em uma limpeza, modelagem e obturação deficiente do sistema do canal radicular. Estas situações clínicas potencialmente diminuem a taxa de sucesso do retratamento. Considerando esta questão microbiológica, a tentativa de remover estes materiais deve ser sempre realizada (Gluskin et al 2008).

Os cones de prata foram usados e indicados como um material de obturação do canal radicular. No entanto, eles têm mostrado corrosão em ambientes úmidos. Os subprodutos desta reação química podem causar manchas e inflamação nos tecidos circundantes, especialmente na área periapical. Além disso, a falta de plasticidade não permite sua boa adaptação às paredes do canal radicular. Isso os torna um material de obturação menos propício. Atualmente, novos materiais e técnicas contemporâneas podem fornecer opções muito melhores.

Ao tomar a decisão de remover um cone de prata, fatores como diagnóstico periapical, localização, curvatura da raiz, comprimento, tamanho do cone de prata, a extensão coronal, a espessura dentinária remanescente, e os riscos de iatrogênicos durante a tentativa devem ser considerados.

Uma técnica normalmente utilizada para remover esses materiais é estabelecer um desvio com lima manual. Desta forma, o fragmento pode ser extraído da câmara pulpar e, em seguida, removido. Outra técnica de remoção é a utilização de uma vibração ultrassônica no fragmento fraturado, associado com o uso de um microscópio de operação dental. Os cones de prata são muito delicados e frágeis. A aplicação da vibração ultrassônica pode causar uma separação do instrumento. Portanto, o poder de vibração deve ser ajustado abaixo de 20%. Esta baixa vibração pode desencaixar o cone de prata da parede do canal, e então ser extraído da câmara pulpar e, finalmente, removido. Técnicas combinadas, tais como bypass e ultrassônicas têm sido normalmente utilizadas na Endodontia moderna.

No entanto, podem ocorrer erros processuais durante procedimentos endodônticos. Yousuf W et al. 2015 fez a avaliação radiográfica digital de 1748 dentes tratados endodonticamente e encontrou erros processuais em 32,8% (574 dentes) deles. No retratamento endodôntico com a presença do cone de prata, uma complicação técnica comum é a ruptura de um cone de prata. Estes acidentes podem comprometer o tratamento e o prognóstico do caso clínico. Nestas situações, é necessário realizar procedimentos adicionais para resolver o problema.

Caso Clínico

Um paciente do sexo feminino de 68 anos, ASA I, pulso 64 bpm, PS 116 X 68 mmHb, SpO2 98%, Temperatura 36,5oC, chegou ao consultório odontológico queixando-se de dor constante, de baixa intensidade, e espontânea, na área bucal e apical do dente 23 (Figura 1). Ela apresentava um edema intraoral, dor durante a mastigação e percussão vertical. Ela relatou ter sido submetida a um tratamento endodôntico no dente 23 há mais de 35 anos atrás. No exame radiográfico periapical, foi possível visualizar um tratamento endodôntico ineficiente, com uma obturação endodôntica com cone de prata e a presença de periodontite apical sintomática. Foi diagnosticado um abscesso apical agudo.

O tratamento proposto foi o retratamento endodôntico, porque no tratamento anteriormente realizado ocorreu uma limpeza e moldagem inadequada do canal, levando a uma obturação endodôntica com cavidades, mantendo a infecção intracanal. Uma microcirurgia endodôntica foi contraindicada devido à presença de um tratamento endodôntico anterior insuficiente.

O retratamento endodôntico começou com o acesso à câmara pulpar usando uma Broca Dental Predator Turbo (Angelus - Londrina - Brasil). O cimento em torno da haste do cone de prata foi removido com uma ponta ultrassônica E7D (Helse Ultrasonic - Brasil) (Figura 2). Após a exposição da parte coronária do cone de prata, uma E5 – Ponta Cônica Longa Ultrassônica (Helse Ultrasonics - Brasil) foi usada para vibrar o corpo do cone de prata. Embora a baixa potência ultrassônica ajustada em 15%, ocorreu uma separação (Figura 3). Devido à falta de adaptação do material da obturação no terço apical, parte do fragmento de cone de prata foi removida da lesão periapical.

A modelagem do canal radicular foi feita usando Lima Reciproc R25 (VDW - Alemanha) seguido por Lima Reciproc Azul RB50 (VDW - Alemanha). Durante o retratamento endodôntico, foi feita uma irrigação abundante com 2,5% de hipoclorito de sódio. Depois de várias tentativas para remover a parte remanescente do cone de prata, outra separação ocorreu (Figura 4). Parte do cone de prata foi removida do canal. No entanto, o outro fragmento não pôde ser removido.

Nesta fase do tratamento, o controle de desinfecção adequado não tinha sido alcançado. A presença do fragmento, não permitia uma desinfecção apropriada do canal radicular. Devido a isso, a dor espontânea, embora diminuída, não cessou. Como resultado da falha no controle adequado de infecção, uma cirurgia complementar foi proposta para remover o fragmento apical. Antes de entrar em microcirurgia, o canal radicular estava concluído. 

O retratamento endodôntico do canal obturado foi realizado com um enxágue final com EDTA 17% passivamente ativado ultrassonicamente, seguido por obturação do canal radicular usando cones de guta-percha com Cimento Bio-C Sealer (Angelus - Brasil). Cimento Bio-C Sealer é um novo Cimento Endodôntico Biocerâmico Pronto para Uso. Ele pode ser colocado da seringa diretamente ao canal radicular. Os cones de guta-percha foram compactados com uma técnica de compactação fria vertical (Figura 5).

Após o retratamento endodôntico convencional, o paciente foi submetido a uma microcirurgia apical. A osteotomia e apicectomia foram feitas com o uso de uma ponta ultrassônica (W1-CVDentus-Brasil). O fragmento apical do cone de prata tornou-se visível em uma ampliação de 12,5x (Figura 6). A fim de remover o fragmento apical, uma Ponta Ultrassônica P1M (Helse Ultrasonic - Brasil) foi usada (Figura 7, Figura 8). Após a remoção microcirúrgica do cone de prata, a preparação retrógrada foi realizada com a mesma ponta ultrassônica (Figura 9).

O MTA, um material biocerâmico, foi usado como a primeira escolha para obturações retrógradas. Suas características superiores de adaptação marginal, biocompatibilidade, capacidade de cimentação em ambientes úmidos, indução e condução na formação de tecidos duros, cementogênese com consequente formação de aderência periodontal normal, torna o material mais adequado para estas situações clínicas. Neste caso, novos materiais biocerâmicos foram usados para obturar a cavidade retrógrada. Primeiro, o Cimento Bio-C Sealer (Angelus - Brasil) foi usado para obturar o espaço no canal radicular. Um tampão apical de Bio-C Repair (Angelus - Brasil) foi colocado em cima da raiz, selando a retro cavidade (Figura 10, Figura 11).

O acompanhamento de 6 meses mostrou uma cicatrização óssea muito rápida. Clinicamente, ela já não tinha quaisquer sinais ou sintomas de uma doença endodôntica (Figura 12). A cicatrização óssea rápida pode estar relacionada com a liberação de cálcio deste novo material de reparação biocerâmica que contém [oxido de zircônio como radiopacificador em vez de Óxido de Bismuto de seu antecessor (MTA convencional). Além disso, o tamanho das partículas biocerâmicas são menores do que do MTA, permitindo mais contato com os tecidos circundantes, aumentando a resposta biológica.

Conclusão

Uma limpeza adequada e a modelagem do sistema de canais radiculares são de extrema importância para o sucesso da terapia endodôntica. A presença de um objeto obliterante dentro da raiz pode comprometer o prognóstico do caso. Portanto, é extremamente importante eliminar estes obstáculos.

No entanto, dependendo da severidade do caso, algumas obstruções não podem ser removidas com um tratamento de canais obturados. Nestas situações, uma abordagem de microcirurgias complementares pode ser necessária. A radiografia pós-operatória e o controle clínico deste caso clínico mostram que a microcirurgia complementar pode ser uma opção clínica segura e previsível.

 Referências

N. Imura, E. T. Pinheiro, B. P. F. A. Gomes, A. A. Zaia, C. C. R. Ferraz, and F. J. Souza-Filho. The outcome of endodontic treatment: a retrospective study of 2000 cases performed by a specialist. Journal of Endodontics, vol. 33, no. 11, pp. 1278–1282, 2007.

M. Lazarski, W. Walker, C. Flores, W. Schindler, and K. Har- greaves, “Epidemiological evaluation of the outcomes of non-surgical root canal treatment in a large cohort of insured dental patients,” Journal of Endodontics, vol. 27, no. 12, pp. 791–796, 2001.

Siqueira J, Lima K, Magalhaes F, Lopes H, de Uzeda M. Mechanical reduction of the bacterial population in the root canal by three instrumentation techniques. J Endod 1999;25:332–5.

Sjogren U, Hagglund B, Sundqvist G, Wing K. Factors affecting the long-term results of endodontic treatment. J Endod 1990;16:498 – 04.

Nair PN, Sjogren U, Krey G, Kahnberg KE, Sundqvist E. Intraradicular bacteria and fungi in root-filled, asymptomatic human teeth with therapy-resistant periapical lesions: a long-term light and electron microscopic follow-up study. J Endod 1990; 16:580 – 8.

Gluskin AH, Peters CI, Wong RD Ming, Ruddle CJ. Retreatment of non-healing endodontic therapy and management of mishaps. In: Ingle JI, Bakland LK, Baumgartner C, editors. Text book of Endodontics. 6th ed. Hamilton, Ontario, USA: BC Decker; 2008. pp. 1088–61.

Yousuf W, Khan M, Mehdi H. Endodontic Procedural Errors: Frequency, Type of Error, and the Most Frequently Treated Tooth. Int J Dent. 2015. Epub 2015 Aug 10.

Souter NJ, Messer HH. Complications associated with fractured file removal using an ultrasonic technique. J Endod. 2005 Jun;31(6):450-2.

Spili P, Parashos P, Messer HH. The impact of instrument fracture on outcome of endodontic treatment. J Endod. 2005 Dec;31(12):845-50.

Predebon JC, Flório FM, Basting RT. Use of CVDentUS Diamond Tips for Ultrasound in Cavity Preparation. J Contemp Dent Pract. 2006 July;(7)3:050-058

Labanca M, Azzola F, Vinci R, Rodella LF. Piezoelectric surgery: twenty years of use. British Journal of Oral and Maxillofacial Surgery. 2008;46:265–269.

Preti G, Martinasso G, Peirone B, et al. Cytokines and growth factors involved in the osseointegration of oral titanium implants positioned using piezoelectric bone surgery versus a drill technique: a pilot study in minipigs. J Periodontol. 2007;78:716–22

Sjogren U, Hagglund B, Sundqvist G, Wing K. Factors affecting the long-term results of endodontic treatment. J Endod 1990;16:498 – 04.

Nair PN, Sjogren U, Krey G, Kahnberg KE, Sundqvist E. Intraradicular bacteria and fungi in root-filled, asymptomatic human teeth with therapy-resistant periapical lesions: a long-term light and electron microscopic follow-up study. J Endod 1990; 16:580 – 8.

Gluskin AH, Peters CI, Wong RD Ming, Ruddle CJ. Retreatment of non-healing endodontic therapy and management of mishaps. In: Ingle JI, Bakland LK, Baumgartner C, editors. Text book of Endodontics. 6th ed. Hamilton, Ontario, USA: BC Decker; 2008. pp. 1088–61.

 Autor

Professor Dr. Leandro A. P. Pereira Professor de Endodontia na Faculdade de Odontologia - São Leopoldo Mandic Mestre e Doutor em Farmacologia, Anestesiologia e Terapia Medicamentosa - UNICAMP Especialista em Endodontia - Microscopia Operatória - Sedação por Inalação

Solicitar consulta

ANGELUS (Produtos Odontológicos)

ANGELUS

Fábrica Angelus Indústria de Produtos Odontológicos S/A
Rua Waldir Landgraf, nº 101
Lindóia
- Londrina, PR
Mostrar mapa