ANGELUS (Produtos Odontológicos)

ANGELUS

Tratamento de Perfuração

Há 7 anos

Paciente sexo feminino indicado ao consultório para avaliação e tratamento de perfuração recente , sem presença de lesão, realizada durante a cirurgia de acesso em dente 26. Rx inicial.

Paciente sexo feminino indicado ao consultório para avaliação e tratamento de perfuração recente , sem presença de lesão, realizada durante a cirurgia de acesso em dente 26. Rx inicial.

Foto clinica com x 8 magnificação logo após a remoção do selamento provisório. Observar o canal palatino com sangramento (seta preta) e a perfuração de furca (seta branca) não associada a perda óssea na região.

Foto clinica com x 8 magnificação logo após a remoção do selamento provisório. Observar o canal palatino com sangramento (seta preta) e a perfuração de furca (seta branca) não associada a perda óssea na região.

Após limpeza da cavidade e tratamento do canal , defeito foi preenchido com o MTA Repair HP (seta). Do ponto de vista clinico o novo MTA foi facilmente espatulado e acomodado na região do defeito.

Após limpeza da cavidade e tratamento do canal , defeito foi preenchido com o MTA Repair HP (seta). Do ponto de vista clinico o novo MTA foi facilmente espatulado e acomodado na região do defeito.

Preenchimento da região com ionômero de vidro.

Preenchimento da região com ionômero de vidro.

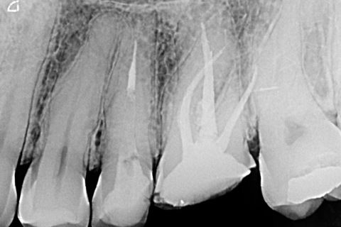
Radiografia final.

Radiografia final.

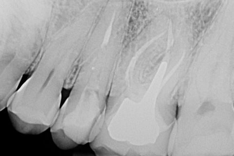
Radiografia de controle de 13 meses evidenciando normalidade dos tecidos perirradiculares com restauração final em posição.

Radiografia de controle de 13 meses evidenciando normalidade dos tecidos perirradiculares com restauração final em posição.

Resumo

Relato de Caso Clínico

A perfuração dental pode ser conceituada como uma comunicação mecânica ou patológica entre o sistema de canal radicular e a superfície externa do dente. A ocorrência de perfurações iatrogênicas varia entre 2 a 12% em casos de insucesso endodôntico e estão frequentemente associadas com fatores de risco tais como tais como : anatomia dental, posição do dente na arcada e experiência do operador (1)A inter-relação entre o tamanho e posição do defeito de perfuração e seu grau de contaminação pode resultar em inúmeras variações clínicas que necessitam de tratamento específico para cada caso. Porém em todos os casos 3 pontos são críticos e devem sempre ser levados em consideração : 1) visualização do defeito e sua acessibilidade via canal; 2) descontaminação da região do defeito e 3) utilização de materiais adequados para vedamento da perfuração (2). Dentre os materias utilizados no reparo o único que apresenta suporte da literatura para o quesitos biocompatibilidade (inerte e ausência de toxicidade após 24 horas iniciais) e bioatividade (induz formação de tecidos duros) é o MTA. Siew et al (2015) relatam após revisão de literatura utilizando estudos clínicos que o MTA deve ser o material de escolha para tratamento de perfurações (3).Entretanto o MTA apresenta algumas desvantagens tais como : i) dificuldade de manipulação e inserção e ii) promove alteração de cor do elemento dental. Um novo tipo de material a base de MTA foi recentemente lançado no mercado MTA REPAIR HP — “High Plasticity” MTA (Angelus®, Londrina, PR, Brazil), visando contornar essas dificuldades. A nova formula mantem todas as caracteristicas quimicas e biologicas do MTA original, entretanto as propriedades físicas foram alteradas resultando em um material mais plastico para facilitar a manipulação e inserção. Além disso a nova formula usa um novo radiopacificador - o tungstato de calcio (CaW04) - ao inves do oxido de bismuto, podendo dessa maneira evitar a descoloração do dente (4)Esse caso clinico descreve o uso do novo MTA para tratamento de perfuração da camara pulpar de um primeiro molar superior ocorrida logo apos a cirurgia de acesso na região de furca.

Autor:

Mario Luis Zuolo, DDS, MSc, trabalha como EspecialistaEndodôntico em São Paulo, Brasil. Ele tem um mestrado emBiologia Molecular da UNIFESP Escola Paulista de Medicina,em São Paulo, Brasil, e é professor no departamento de pósgraduaçãode Endodontia, Professor no Programa de Endodontiada EAP-APCD, em São Paulo, Brasil.

Referências:

1. Toure B, Faye B, Kane AW, et al. Analysis of reasons for extraction of endodontically treated teeth: a prospective study. J Endod 2011; 37:1512–5.

2. Zuolo ML, Kherlakian D, de Mello JE, Fagundes MIRC, Carvalho MCCC. Reintervenção em Endodontia. Quintessence Ed Ltda. 3 ed 2017.

3. Siew K, Lee AHC, Cheung GSP. Treatment outcome of repaired root perforation: A systematic review and meta-analysis. J Endod 2015; 41:1795-1803.

4. Angelus. MTA REPAIR HP. http://angelus.ind.br/MTA-REPAIR- HP-292.html. Accessado em Agosto 4, 2017.

Solicitar consulta

ANGELUS (Produtos Odontológicos)

ANGELUS

Fábrica Angelus Indústria de Produtos Odontológicos S/A
Rua Waldir Landgraf, nº 101
Lindóia
- Londrina, PR
Mostrar mapa