Uma Abordagem Endodôntica Contemporânea com o Uso de Cimento Biocerâmico

  Caso clínico, 25 de Fev de 2016

Resumo

O caso clínico abaixo mostra a utilização do cimento MTA Fillapex (Angelus) associados a cones de guta percha para a obturação endodôntica de um caso de tratamento endodôntico realizado em sessão única.

Paciente do gênero feminino com 56 anos de idade, caucasiana, compareceu ao consultório queixando-se de dor espontânea, pulsátil, que não cessava com o uso de analgésicos e anti-inflamatórios na região de mandíbula esquerda. Apresentou resposta negativa para o teste de palpação apical e percussão vertical e lateral em todos os dentes do referido quadrante. Aos testes térmicos apresentou resposta positiva exacerbada e de longa duração tanto ao frio quanto ao calor apenas no dente 37.

Nos outros dentes do quadrante apresentou resposta positiva leve e de curta duração ao frio e negativa ao Segundo a classificação da Associação Americana de Endodontia, o dente 36 teve um diagnóstico pulpar e periapical de pulpite inflamatória irreversível com periápice normal. O tratamento indicado foi o tratamento endodôntico.

O tratamento foi realizado em sua totalidade com a utilização de um Microscópio Operatório variando a magnificação entre 2,5 a 12,5 X. O acesso à câmera pulpar foi feito com uma broca esférica diamantada 1013 seguida de uma broca tronco-cônica diamatada 3082 e o acabamento realizado com ponta ultrasônica tronco-cônica diamatada (E7D Helse). Após a localização dos canais, uma lima #10 tipo K manual foi lentamente introduzida até alcançar 2/3 do comprimento radiográfico inicial do dente. Esta foi seguida de um instrumento reciprocante #25.06 (Reciproc -VDW) com progressão apical em sequências de 3 movimentos em torno de 1 mm de amplitude em direção apical.

A cada sequência de 3 movimentos com o instrumento reciprocante uma irrigação com 5 ml de hipoclorito de sódio à 2.5% foi realizada e a lima #10 do tipo K levada até 2/3 do comprimento radiográfico do dente. Este procedimento foi repetido até que o instrumento Reciproc 25 atingisse este comprimento pré-estabelecido.

O passo seguinte foi realizar a odontometria eletrônica com um localizador foraminal e estabelecer o comprimento real de trabalho. No comprimento de trabalho foi verificado o diâmetro da região através da introdução de diferentes calibres de limas manuais do tipo K até que se observa-se o ajuste de uma delas às paredes laterais dos canais. Nos canais mesiais, o instrumento que se adaptou à essa região foi o #30 e no canal distal o #40. Desta forma, e na mesma sequência operatória inicial de preparo, modelagem e irrigação, os canais mesiais foram preparados até o instrumento Reciproc 40 (VDW) e o canal distal até o instrumento Reciproc 50 (VDW).

Após a modelagem dos canais, o sistema de canais foi seco e preenchido com EDTA-T 17% e uma ponta de ultrassom Irrisonic (Helse) foi utilizada para ativar passivamente a substância por 3 ciclos de 15 segundos com renovação da substância a cada ciclo. Após a ativação passiva ultrasônica os canais foram novamente irrigados com 5 ml de Hipoclorito de Sódio a 2.5%. Os cones principais de guta pecha foram provados e ajustados. Após isto o sistema de canais foi seco com micro-cânulas de aspiração conectadas a um suctor à vácuo.

O cimento MTA Fillapex (Angelus) foi manipulado e levado ao interior dos canais através dos cones principais de guta percha. Os excessos dos cones foram cortados com a utilização de um sistema de transferência de calor (Touch’n Heat Sybron Endo) e compactados verticalmente a frio. A câmera pulpar foi selada com resina composta fotopolimerizável e a paciente foi encaminhada à sua dentista para a realização da restauração definitiva do elemento dental.

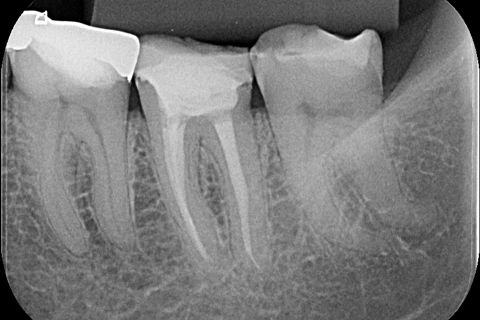
Após 17 meses a paciente compareceu para consulta de controle e na radiografia foi possível observar sucesso endodôntico caracterizado por ausência de sinais e sintomas, dente em função fisiológica, normalidade do periápice e reabsorção do surplus de MTA Fillapex.

Material Utilizado

MTA Fillapex - http://www.ident.com.br/Angelus/material/577550-mta-fillapex

Referências Bibliográficas

  • José F. Siqueira Jr and Isabela N. Rôças. Clinical Implications and Microbiology of Bacterial Persistence after Treatment Procedures. J Endod. 2008 Nov; 34(11):1291-1301.
  • Torabinejad M1, Hong CU, McDonald F, Pitt Ford TR. Physical and chemical properties of a new root-end filling material. J Endod. 1995 Jul;21(7):349-53.
  • Kenneth M. Hargreaves, Stephen Cohen, Louis H. Berman. Cohen’s Pathways of the Pulp. Ed 10; Mosby Elsevier, 2011
  • Vano M, Cury AH, Goracci C, Chieffi N, Gabriele M, Tay FR, Ferrari M. The effect of immediate versus delayed cementation on the retention of different types of fiber post in canals obturated using a eugenol sealer. J Endod 2006; 32(9):882-5.
  • Reyes-Carmona JF1, Felippe MS, Felippe WT. Biomineralization ability and interaction of mineral trioxide aggregate and white portland cement with dentin in a phosphate-containing fluid. J Endod. 2009 May;35(5):731-6
  • AAE Consensus Conference on Diagnostic Terminology: background and perspectives. Glickman GN. J Endod. 2009 Dec;35(12):1619-20

Autor

http://www.ident.com.br/leandroapp

O Professor Leandro Pereira iniciou o seu trabalho na área de microscopia operatória em 1998. Desde então se dedicou ao desenvolvimento da microfotografia e microfilmagem através do microscópio. Desenvolveu também novas alternativas microcirurgicas sendo um dos pioneiros da microcirurgia endodôntica (full) piezoelétrica. Atualmente divulga esta nova modalidade microcirurgica ao redor do mundo com palestras ministradas em diversos países como Estados Unidos, Grécia, Bulgária, Peru, Espanha, México, Argentina, Portugal, Chile e Brasil.

  • Graduado pela UNICAMP;
  • Professor do Departamento de Endodontia da Faculdade e Centro de Pesquisas São Leopoldo Mandic – Campinas – São Paulo;
  • Mestre e Doutorando em Farmacologia, Anestesiologia e Terapêutica Medicamentosa;
  • FOP-UNICAMP Especialista em Endodontia – Microscopia Operatória – Sedação Inalatória;
  • Coordenador do Curso de Fotografia em Odontologia da São Leopoldo Mandic em Belo Horizonte – Minas Gerais;
  • Coordenador do Curso de Microcirurgia Endodôntica do Branemark Osteo Integration Center;
  • Membro da American Association of Endodontists;
  • Palestrante Nacional e Internacional de Microcirurgia e Endodontia;
  • A natureza generalista da formação do Prof. Leandro o levou à autoria de vários capítulos em diversos livros de Odontologia;
  • Socorrista (SBV) pela American Heart.

Fotos do caso

Envie seu comentário

Cadastre-se grátis e opine sobre este caso clínico.

Autora

Veja mais

ANGELUS

Produtos Odontológicos

 Londrina, PR

Últimas novidades, produtos odontológicos ANGELUS no Catálogo Odontológico do Ident.

Cursos Online ANGELUS

Catálogo ANGELUS

Todo o catálogo ANGELUS

Você é dentista?

Crie seu perfil para interagir com ANGELUS e mais 160 mil dentistas.

Conecte-se com Facebook