ANGELUS (Produtos Odontológicos)

ANGELUS

Pino Anatômico – Relato de Caso Clínico

  Caso clínico de Prótese Dentária     Há 11 anos

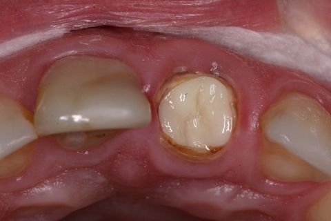
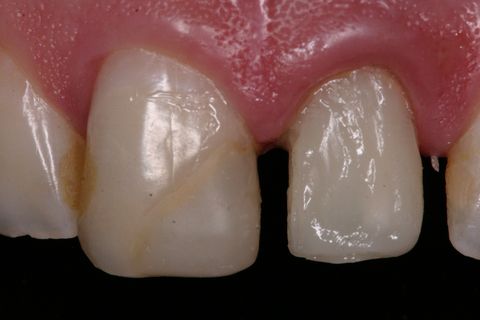
Aspecto Clínico Inicial

Aspecto Clínico Inicial

Aspecto clínico inicial (vista oclusal)

Pino de fibra de vidro #3 (Exacto) pinos acessórios (Reforpin) Angelus, Brasil

Resina Fill Magic NT Premium, Coltene - Vigodent, Brasil

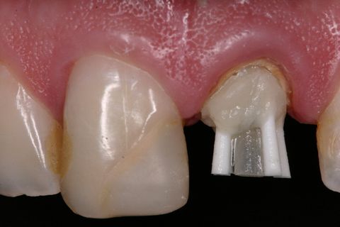
Inserção da resina no remanescente dentário

Inserção do pino Exacto na resina

Inserção dos pinos acessórios na resina

Aplicação de silano (Angelus, Brasil) e adesivo (Fusion duralink - Angelus, brasil) no pino

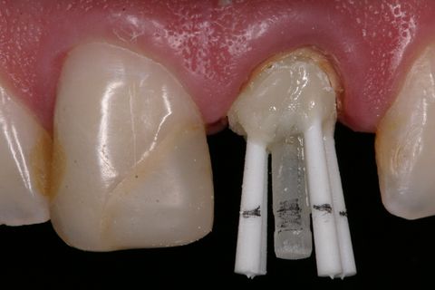
Reconstrução da porção coronária com mesma resina composta utilizada no conduto

Fotopolimerização

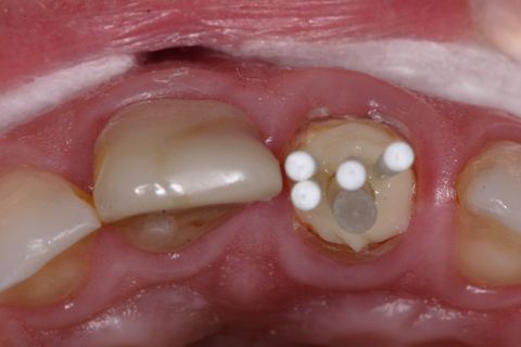
Marcação dos pinos para posterior recorte

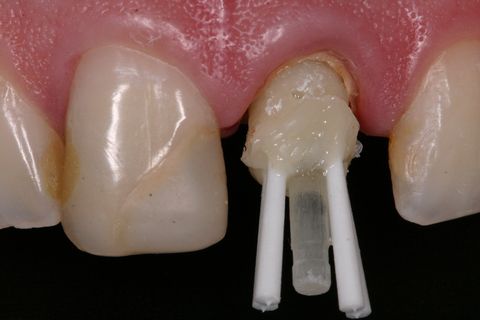
Remoção do pino e fotoativação final

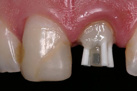
Verificação da adaptação do pino anatômico no remanescente dentário

Aspecto final do pino pós fotopolimerização

Condicionamento ácido do pino anatômico por 30 segundos

Aplicação de silano no pino por 20 segundos

Aplicação de adesivo no pino

Condicionamento ácido no remanescente dentinário por 20 segundos

Aplicação de primer e adesivo no remanescente dentário (sistema Fusion Duralink - Angelus, brasil)

Cimentação do pino com cmento resinoso autopolimerizável

Aspecto clínico após cimentação (tempo de 5 min)

Aplicação do adesivo na porção coronária

Inserção de resina composta em porções incrementais para confecção do núcleo

Preparo protético do núcleo

Resumo

Introdução:

Dentes tratados endodonticamente com grande destruição coronária tem sido um procedimento clínico muito comum na prática clínica restauradora. Desta forma, quando nos depararmos com esta situação clínica, será eminente a necessidade da utilização de retentores intrarradiculares para se obter maior estabilidade e retenção da restauração ao remanescente dental (Torabi, 2009; Muncum, 2010).

A técnica restauradora denominada de pino anatômico é proposta para a reabilitação de dentes anteriores com canal radicular extensamente comprometido e com grande remoção de tecido dentinário (Clavijo, 2007).

Nesta modalidade restauradora além do pino de fibra de vidro é utilizada uma resina composta para modelar o conduto radicular com o objetivo de diminuir o espaço que seria preenchido pelo cimento resinoso. Desta forma, a combinação de dois materiais restauradores (resina composta e pino) servirá e comportará biomecanicamente como um substituto da estrutura dentinária perdida (Martins, 2011).

Os pinos anatômicos possuem um prognótico extremamente favorável em casos de raízes fragilizadas devido a perda de estrutura dentinária e contribuem sobremaneira para a reabilitação do dente tanto no aspecto da função mastigatória quanto da estética (Goyatá et al., 2009). Além disso, os pinos de fibra, possuem uma distribuição de tensão mais uniforme em região oclusal e radicular em respeito aos pinos metálicos (Hattori, 2010).

É de suma importância o condicionamento dos pinos e sua silanização, para promover uma adesão interfacial, principalmente em região para confecção de núcleo (Khanverdi, 2011; Sumitha, 2011).

Este trabalho tem por objetivo relatar um caso clínico demonstrando a técnica de confecção do pino anatômico, utilizando-se resina composta e pinos de fibra de vidro, em um incisivo central superior com a raiz enfraquecida com o objetivo de restabelecer a porção cornária do dente.

Relato de Caso Clínico:

Paciente jovem do gênero masculino, apresentou-se à Clínica Integrada do Curso de Odontologia da Universidade Severino Sombra necessitando de um tratamento restaurador no dente 21. Ao exame clínico e radiográfico foi observado uma grande destruição coronária e tratamento endodontico satisfatório (Figuras 1, 2 e 3).

Foi proposto ao paciente a confecção de um pino anatômico afim de recuperar a função e a estética do dente e proporcionar a reabilitação futura do dente com uma coroa total em cerâmica.

Inicialmente, foi removido o tecido cariado do remanescente dental e realizado a seleção do pino de fibra de vidro (Exacto # 3, Angelus, Brasil) e também foram selecionados pinos acessórios (Reforpin, Angelus, Brasil) (Figuras 4).

Isolou-se o conduto radicular com óleo mineral e inseriu-se a resina composta (Fill Magic NT Premium, Coltene-Vigodent, Brasil) sobre o remanescente dentário com auxílio de uma espátula suprafill #1/2 (Figuras 5 e 6). Após o preenchimento do conduto com resina, foi inserido o pino Exacto cônico e os pinos acessórios previamente silanizados (Silano, Angelus, Brasil) e com a aplicação do adesivo (Fusion Duralink, Angelus, Brasil) (Figuras 7, 8 e 9). Em seguida, promoveu-se a fotoativação inicial do conjunto pino-resina por 20 segundos.

Para finalizar, realizou-se a reconstrução coronária com a resina composta anteriormente utilizada em porções incrementais e fotoativação (Figuras 10 e 11).

Foi realizada uma marcação na porção mais incisal dos pinos para orientar o posterior recorte dos pinos (Figura 12). A seguir, o pino anatômico foi removido e realizado a fotoativação final por 40 segundos (Figura 13). Logo após, verifica-se a adaptação do pino anatômico ao remanescente coronário (Figura 14).

Após a fase de confecção do pino anatômico e porção coronária do núcleo com resina composta, inicia-se a preparação do mesmo para a cimentação adesiva ao remanescente dentário (Figura 15).

Foi realizado o condicionamento ácido do pino por 30 segundos, sendo posteriormente lavado e seco. Em seguida, foi aplicado o silano (Silano, Angelus, Brasil) por 20 segundos e o adesivo (Fusion Duralink, Angelus, Brasil) com posterior fotoativação por 20 segundos (Figuras 16, 17 e 18).

Após preparado o pino anatômico, realizou-se o condicionamento ácido do remanescente dentinário por 20 segundos, lavando e secando levemente afim de deixar a dentina úmida (Figura 19). A seguir aplicou-se o primer dentinário e o adesivo (Sistema Fusion Duralink, Angelus, Brasil) e fotoativou-se por 20 segundos (Figura 20).

A cimentação foi realizada com cimento resinoso autopolimerizável aguardando-se o tempo de cinco minutos para a presa química do cimento (Figuras 21 e 22).

 Finalizada a cimentação do pino anatômico, aplicou-se o adesivo à porção coronária e fotoativou-se por 20 segundos e foi inserida resina composta em porções incrementais para a confecção do núcleo (Figuras 23 e 24).

Para concluir a proposta restauradora, foi realizado o preparo protético do núcleo para a confecção futura de uma coroa total em cerâmica (Figura 25).

Autores:

Prof. Dr. Frederico dos Reis Goyatá

Doutor em Prótese, Professor Adjunto I e Coordenador do Curso de Odontologia da Universidade Severino Sombra (USS) – Vassouras-RJ

Coordenador dos Cursos de Pós Graduação (Aperfeiçoamento e Especialização em Prótese da EAP- ABO- Barra Mansa-RJ

Prof. Orlando Izolani Neto

Professor de Clínica Integrada do Curso de Odontologia da USS.

Conclusão

O pino anatômico constitui-se numa alternativa clínica para a reconstrução coronária e radicular em dentes tratados endodonticamente e com grande destruição de tecido dentinário.

Além de reabilitar o dente, esta proposta clínica promove uma distribuição de tensões advindas da mastigação de forma mais equilibrada sem comprometer o remanescente dental minimizando os riscos de fratura radicular.

Um dos fatores importantes que esta alternativa restauradora proporciona é possibiltar um resultado estético com a utilização de uma coroa total livre de metal.

Referências

1. Clavijo VGR, Avaliação da resistência à fratura de raízes fragilizadas reabilitadas por diferentes técnicas de construção de núcleos intra-radiculares. Araraquara; s.n; 2007. 120 p. ilus.

2. Goyatá FR, et al. Restabelecimento estético anterior multidisciplinar: relato de caso clínico. R Dental Press Estet. Maringá. 2009. Out/nov/dez; 6(4): 2-11.

3. Hattori M, Takemoto S, Yoshinari M, Kawada E, Oda Y. Durability of fiber-post and resin core build-up systems. Dent Mater J. 2010. Mar;29(2):224-8.

Solicitar consulta

ANGELUS (Produtos Odontológicos)

ANGELUS

Fábrica Angelus Indústria de Produtos Odontológicos S/A
Rua Waldir Landgraf, nº 101
Lindóia
- Londrina, PR
Mostrar mapa