Substituição de Retentor Metálico-Fundido: Da Cimentação Adesiva ao Preparo.

  Caso clínico, 10 de Abr de 2014

Resumo

O uso de retentores reforçados com fibra permite a reabilitação de raízes enfraquecidas estruturalmente, devido principalmente a formação de interface adesiva com a dentina (Soares et al., 2008), e comportamento biomecânico similar da interface polimérica pino/adesivo/cimento/dentina (Silva et al., 2011).

Este caso clínico relata a confecção de núcleo de preenchimento empregando retentor intra- radicular de fibra de vidro, enfatizando o protocolo de cimentação adesiva totalmente química e reconstrução com resina composta. 

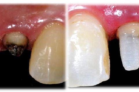
  • Figura 1. Aspecto inicial do elemento 12 com redução extensa da porção coronária. Observa-se enfraquecimento e manchamento radicular, consequência de múltiplas substituições empregando núcleos metálicos fundidos. Indicou-se a reabilitação deste elemento empregando cimentação totalmente química de retentor reforçado com fibra de vidro e reconstrução coronária com resina composta para confecção de preparo para coroa total. 
  • Figura 2. Preparo do conduto radicular para pino Exacto n. 2 (Angelus) translúcido, utilizando broca so Sistema Exacto em baixa rotação. Observe a manutenção de aproximadamente 5,0mm de guta-percha no terço apical. Prova clínica do pino após isolamento absoluto.
  • Figura 3. Condicionamento da estrutura dentinária com ácido fosfórico 37% (Angelus) por 15s. Injetar o ácido fosfórico iniciando na porção mais profunda radicular reduzindo as chances de bolhas.
  • Figura 4. Aspirar o excesso de ácido fosfórico com sugador endodôntico, lavar interna e externamente com água empregando seringa endodôntica durante pelo menos 15s. Remover excesso de umidade com cones de papel absorvente. Observe com atenção a extremidade dos cones para detectar remanescentes de ácido fosfórico.
  • Figura 5. Aplicou-se com micro-brush o Primer do Sistema Adesivo Fusion Duralink (Angelus). Aguardou-se 60s para evaporação do solvente, removendo os excessos de primer com cone de papel absorvente. Em seguida aplicou-se, com outro micro-brush, o Catalizador do Sistema Adesivo Fusion Duralink (Angelus). Os excessos foram removidos com cone de papel absorvente. Aguardou-se 4min para reação de polimerização da camada adesiva.

Neste intervalo, o pino de fibra foi tratado superficialmente com o protocolo descrito a seguir: 

1) Imersão em Peróxido de Hidrogênio 24% por 60s (Menezes et al., 2011)

2) Lavagem por 60s com spray ar/água

3) Secagem

4) Aplicação de Silano (Angelus) – aguardando 60s

5) Aplicação de camada de Adesivo Fusion Duralink – Fotoativação por 40s

  • Figura 6. Manipulação do cimento de presa química Cement-Post (Angelus), seguida de inserção do cimento com lima, espalhando nas paredes do conduto radicular. Inserção do pino de fibra envolvido com cimento resinoso. Remoção dos excessos de cimento com micro-brush.
  • Figura 7. Reconstrução da porção coronária com resina composta nano-híbrida Ice (SDI). Inserção incremental envolvendo o remanescente dental e retentor, planejando geometria do preparo para coroa total. Fotoativação de cada incremento por 40s.
  • Figura 8. Aspecto inicial, e aspecto final do preparo para coroa total. Neste momento cabe ao profissional a adequação do preparo de acordo com o tipo de material constituinte da coroa total, ou seja, infra-estrutura metálica ou cerâmica reforçada.

Referências

1. Menezes M, Queiroz EC, Soares PV, Faria-e-Silva AL, Soares CJ, Martins LR. Fiber post etching with hydrogen peroxide: effect of concentration and application time. J Endod. 2011 Mar;37(3):398-402. 

2. Silva NR, Castro CG, Santos-Filho PC, Silva GR, Campos RE, Soares PV, Soares CJ. Influence of different post design and composition on stress distribution in maxillary central incisor: Finite element analysis. Indian J Dent Res. 2009 Apr-Jun;20(2):153-8.

3. Soares CJ, Soares PV, de Freitas Santos-Filho PC, Castro CG, Magalhaes D, Versluis A. The influence of cavity design and glass fiber posts on biomechanical behavior of endodontically treated premolars. J Endod.

2008 Aug;34(8):1015-9.

Autor

Prof. Dr. Paulo Vinícius Soares

Professor Adjunto II de Dentística e Materiais Odontológicos FOUFU, Professor Efetivo do Programa de Pós-graduação FOUFU, Coordenador de Graduação FOUFU (2009-2013), Especialista em Dentística - FOUFU, Mestre em Reabilitação Oral - FOUFU, Doutor em Clínica Odontológica- UNICAMP.

Co-Autores

C.D. Bruno Rodrigues Reis

Especialista em Dentística - FOUFU, Mestre em Reabilitação Oral – FOUFU, Doutorando em Materiais Dentários - USP.

C.D. Fabrícia Araújo Pereira

Especialista em Dentística - FOUFU, Mestanda em Reabilitação Oral – FOUFU.

Fotos do caso

Envie seu comentário

Cadastre-se grátis e opine sobre este caso clínico.

Autora

Veja mais

ANGELUS

Produtos Odontológicos

 Londrina, PR

Últimas novidades, produtos odontológicos ANGELUS no Catálogo Odontológico do Ident.

Cursos Online ANGELUS

Catálogo ANGELUS

Todo o catálogo ANGELUS

Leia também

Você é dentista?

Crie seu perfil para interagir com ANGELUS e mais 160 mil dentistas.

Conecte-se com Facebook